Arq Bras Cardiol: Imagem cardiovasc. 2023; 36(3): e20230051

Metástase Cardíaca e Tumor Ovariano de Krukenberg: Um Relato de Caso

Jessyca Gonçalves , Ana Gardenia Liberato Ponte , João David Leitão de , Christiane Bezerra Rocha , Ana Carolina Brito de , Mauricio Costa

DOI: 10.36660/abcimg.20230051

Introdução

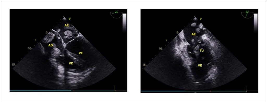
Os tumores cardíacos primários são raros, apresentando incidência de 0,0017% a 0,28%. Os tumores secundários ou metastáticos, em contrapartida, são 40 a 100 vezes mais frequentes que os primários. Os sítios primários que metastatizam com maior frequência para o coração são pulmão, mama, melanoma maligno e tumores hematológicos. Metástase cardíaca secundária a tumores ovarianos é infrequente e, nos casos descritos, acomete principalmente pericárdio, sem descrição de lesões intracavitárias. As neoplasias metastáticas podem alcançar o coração pelas seguintes vias: hematogênica, extensão direta, vasos linfáticos, e através das veias pulmonares e da veia cava.,

O termo “tumor de Krukenberg” é utilizado clinicamente para designar um carcinoma metastático de células em anel de sinete, secretor de mucina no denso estroma fibroblástico do ovário. Acomete principalmente mulheres na pré-menopausa, sendo a idade média de diagnóstico 45 anos, e tem como sítio primário mais comum o estômago, responsável por 70% dos casos, seguido de cólon, apêndice e mama., A história de carcinoma prévio ao diagnóstico do Krukenberg é obtida em apenas 20% dos casos, sendo o sítio primário, muitas vezes, desconhecido. A taxa de mortalidade é elevada, com sobrevida média de 14 meses após o diagnóstico.,

[…]

Metástase Cardíaca e Tumor Ovariano de Krukenberg: Um Relato de Caso

Comentários

Acessar o conteúdo