Arq Bras Cardiol: Imagem cardiovasc. 2023; 36(3): e20230062
Experiência Inicial de Oclusão de Apêndice Atrial Esquerdo Guiada pelo Ecocardiograma Intracardíaco: Relato de Seis Casos
Introdução
Nas últimas décadas a incidência da fibrilação atrial (FA) aumentou exponencialmente de forma global., Esta comorbidade está diretamente relacionada a eventos cardioembólicos sendo que a anticoagulação oral (ACO) é o tratamento considerado padrão ouro para sua prevenção. Embora a ACO seja eficaz na prevenção de acidentes vasculares cerebrais (AVC) isquêmicos, a varfarina é contraindicada em 14% a 44% dos pacientes com risco de AVC cardioembólico, enquanto mesmo em pacientes elegíveis, apenas 54% são anticoagulados. Atualmente os anticoagulantes orais de ação direta (DOAC) são preferíveis como terapia preventiva aos AVC isquêmicos, entretanto, as taxas de descontinuação destas drogas relatadas em ensaios clínicos, que se deve principalmente à intolerância ou efeitos colaterais, variam de 23% a 35%. Em pacientes com história de AVC hemorrágico, sangramento não intracraniano descontrolado e doença renal crônica terminal ou dialítica a utilização dos DOAC apresenta contraindicações relativas ou absolutas.
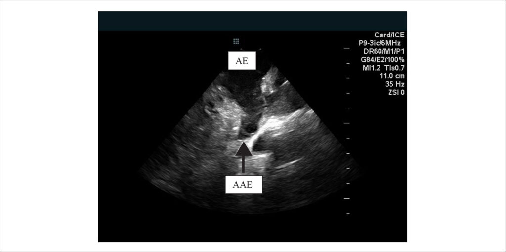
Em casos de FA não valvar quando presentes as referidas contraindicações ao uso dos DOAC a oclusão de apêndice atrial esquerdo (OAAE) se mostra eficaz como alternativa terapêutica. Este procedimento tem sido guiado e realizado pela ecocardiografia transesofágica (ETE) que é considerada como padrão ouro. Porém, serviços que incorporaram a ecocardiografia intracardíaca (EIC) como ferramenta auxiliar durante a ablação por cateter para tratamento da FA passaram a utilizar este método como uma alternativa segura e eficaz ao ETE nos procedimentos de OAAE.–
[…]
Palavras-chave: Anticoagulantes; Apêndice atrial; AVC Embólico; Fibrilação atrial
347

