Arq Bras Cardiol: Imagem cardiovasc 2023; 36(3): e20230053
Avaliação de Reserva de Fluxo Coronariano Pela Cintilografia Miocárdica na Hipertrofia Ventricular Esquerda
Introdução
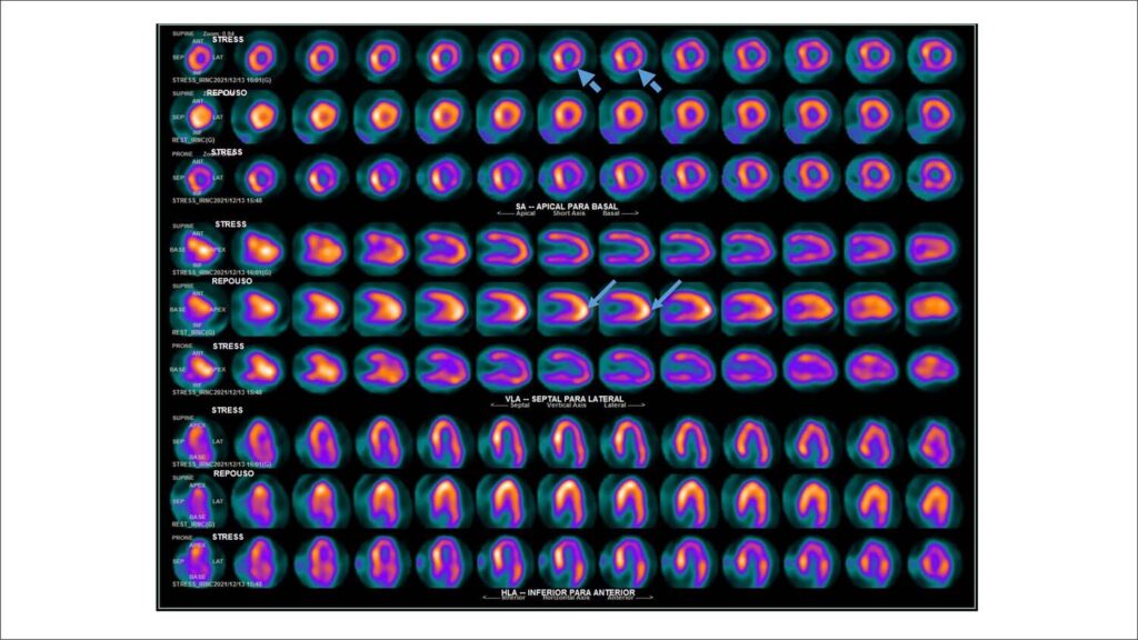
A integridade microvascular do leito miocárdico pode ser avaliada pela reserva de fluxo coronariano (CFR), que é um cálculo da proporção entre o fluxo sanguíneo coronariano absoluto sob estresse vasodilatador e em condições de repouso. Sua medida é capaz de estimar a disfunção vasomotora e reflete o efeito hemodinâmico de doença coronariana focal, difusa ou de pequenos vasos.
Atualmente, é possível medir a CFR de forma invasiva pela técnica de termodiluição ou Doppler intracoronariano e através de métodos não-invasivos, como ecocardiograma, ressonância magnética, tomografia computadorizada ou técnicas de medicina nuclear.
[…]
835

