Arq Bras Cardiol: Imagem cardiovasc. 2023; 36(3): e20230059

Lipoma Cardíaco como um Achado Incidental em Exame de Imagem Cardiovascular

Fábio P. , Marcelo G. , Patrícia M.

DOI: 10.36660/abcimg.20230059

Introdução

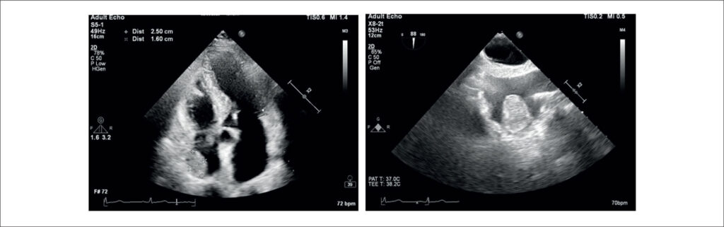
O advento da imagem cardíaca inaugurou uma era em que achados incidentais podem ser detectados utilizando métodos menos invasivos, mesmo em pacientes assintomáticos. A apresentação clínica das massas cardíacas, caracterizadas pelas suas diferentes taxas de crescimento e diversas localizações dentro do coração, representa um desafio formidável para os cardiologistas. Portanto, é de suma importância a redução da carga clínica e dos custos, considerando o potencial da imagem cardíaca para otimizar o percurso clínico. As massas cardíacas mais comuns no átrio direito incluem trombos, vegetações e neoplasias. Aproximadamente 75% dos tumores primários são benignos, com mixomas compreendendo 50% dos casos benignos. Outros tumores benignos que geralmente podem surgir no átrio direito são rabdomiomas, fibromas, fibroelastomas e lipomas. Os lipomas cardíacos são raros, representando 2,9% a 8% de todos os tumores cardíacos benignos. Eles ocupam o terceiro lugar em frequência, depois dos mixomas e dos fibroelastomas papilares. A literatura sugere que 25% dos lipomas cardíacos são intramiocárdicos, 25% são extracavitários de origem epicárdica e 50% são intracavitários de origem subendocárdica. Lipomas são massas bem encapsuladas e homogêneas compostas por gordura madura. Embora a etiologia dos lipomas cardíacos seja desconhecida, eles podem originar-se de qualquer um dos três tecidos cardíacos: subendocárdico (o mais comum), pericárdico ou miocárdico.

O objetivo deste relato é apresentar um caso de lipoma atrial direito assintomático e discutir a etiologia, história natural e estratégias de manejo ideais para lipomas atriais direitos.

[…]

Lipoma Cardíaco como um Achado Incidental em Exame de Imagem Cardiovascular

Comentários

Acessar o conteúdo