Arq Bras Cardiol: Imagem cardiovasc. 2023; 36(3): e20230038
Tamponamento Cardíaco: Apresentação Clínica Inicial de Mediastinite Fibrosante
Introdução
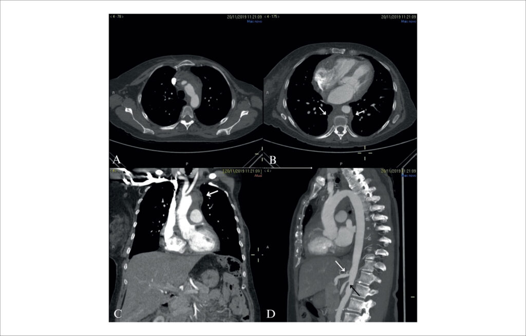
A mediastinite fibrosante (MF) é uma condição rara caracterizada pela proliferação de tecido fibrótico no mediastino, apresentando-se como uma massa concentrada ou infiltração difusa., As condições clínicas podem variar de benignidade a obstrução de estruturas mediastinais vitais, como vasos, vias aéreas e o esôfago. As queixas comuns são tosse, dispneia, infecção pulmonar recorrente, hemoptise e dor pleurítica. O envolvimento pericárdico não é relatado com frequência na literatura. Neste relato, descrevemos um caso raro de derrame pericárdico importante com tamponamento cardíaco como apresentação inicial de MF em uma paciente com câncer.
[…]
Palavras-chave: Mediastinite; Neoplasias da mama; Tamponamento Cardíaco
473

