Arq Bras Cardiol: Imagem cardiovasc. 2023; 36(3): e20230038

Cardiac Tamponade: Initial Clinical Presentation of Fibrosing Mediastinitis

Aluísio José de O. Monteiro , Vitor Medeiros , Filipe Melo A. , Álvaro Braga , Marcelo Dantas Tavares de

DOI: 10.36660/abcimg.20230038i

Introduction

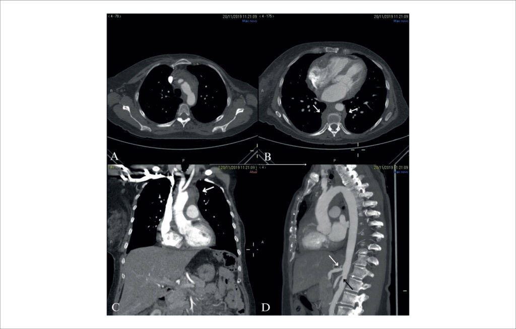
Fibrosing mediastinitis (FM) is a rare condition characterized by the proliferation of fibrotic tissue in the mediastinum, presenting as a concentrated mass or diffuse infiltration., Clinical conditions can range from benignity to obstruction of critical mediastinal structures, such as vessels, airways, and the esophagus. Common complaints are cough, dyspnea, recurrent pulmonary infection, hemoptysis, and pleuritic pain. Pericardial involvement is not frequently reported in the literature. In this article, we describe a rare case of major pericardial effusion with cardiac tamponade as an initial presentation of FM in a patient with cancer.

[…]

Cardiac Tamponade: Initial Clinical Presentation of Fibrosing Mediastinitis

Comments

Skip to content