Arq Bras Cardiol: Imagem cardiovasc. 2023; 36(3): e20230051
Cardiac Metastasis and Krukenberg Tumor: A Case Report
DOI: 10.36660/abcimg.20230051i
Introduction
Primary cardiac tumors are rare, affecting between 0.0017% and 0.28% of the population. Secondary or metastatic tumors, on the other hand, are 40 to 100 times more frequent than primary tumors. The primary sites that most often metastasize to the heart are the lungs, breast, malignant melanoma, and hematological tumors. Cardiac metastasis secondary to ovarian tumors is infrequent and, in the cases described, mainly affects the pericardium, with no intracavitary lesions described. Metastatic neoplasms can reach the heart by these routes: hematogenous, direct extension, lymphatic vessels, and through the pulmonary veins and vena cava.,
The term “Krukenberg tumor” is used clinically to designate a metastatic carcinoma of mucin-secreting signet ring cells in the dense fibroblastic stroma of the ovary., It mainly affects premenopausal women, at a mean age of diagnosis of 45 years, with 70% of cases in the stomach as the most common primary site, followed by the colon, appendix, and breast., A history of carcinoma prior to the diagnosis of Krukenberg is obtained in only 20% of cases, and the primary site is often unknown. The mortality rate is high, and survival is 14 months on average after diagnosis.,
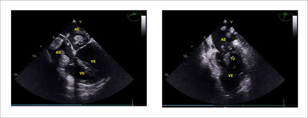
[…]
Keywords: Brenner Tumor; Krukenberg Tumor; Neoplasm Metastasis
464

