Arq Bras Cardiol: Imagem cardiovasc. 2024; 37(4): e20240083
Átrio Esquerdo Gigante em Doença Valvar Mitral Reumática
Resumo
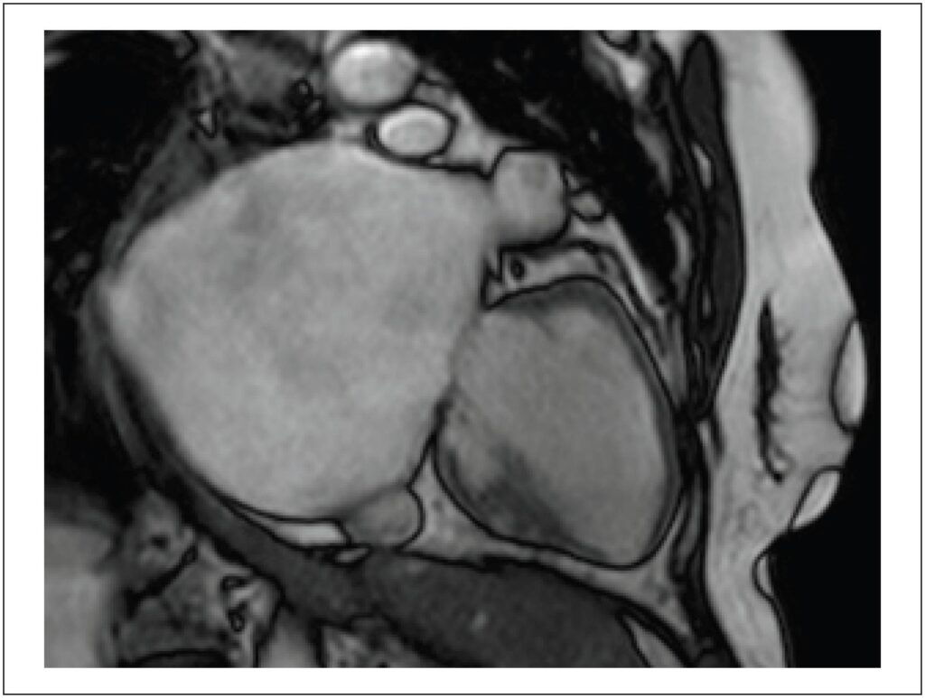
O Átrio Esquerdo Gigante (AEG) é uma condição rara e mais comumente relacionada à doença valvar mitral reumática; pode ser confundido com alguns possíveis diagnósticos diferenciais quando ferramentas pouco acuradas são implementadas na sua investigação, podendo acarretar procedimentos desnecessários e particularmente perigosos neste cenário. Métodos de imagem cardíaca, tais como a Ressonância Magnética Cardíaca (RMC) podem ser úteis nesta diferenciação por sua alta resolução espacial, possibilitando tanto o diagnóstico, como a programação da intervenção cirúrgica, caso indicada. A solicitação do método diagnóstico mais acertado, entretanto, requer conhecimento sobre esta condição, levando à sua correta suspeição. Além disso, a escolha pela volumetria em lugar do método biplanar na RMC em casos de grande deformação atrial é mais uma forma de assegurar a acurácia dos valores obtidos.
268

