Arq Bras Cardiol: Imagem cardiovasc. 2024; 37(4): e20240083
Giant Left Atrium in Rheumatic Mitral Valve Disease
DOI: 10.36660/abcimg.20240083i
Abstract
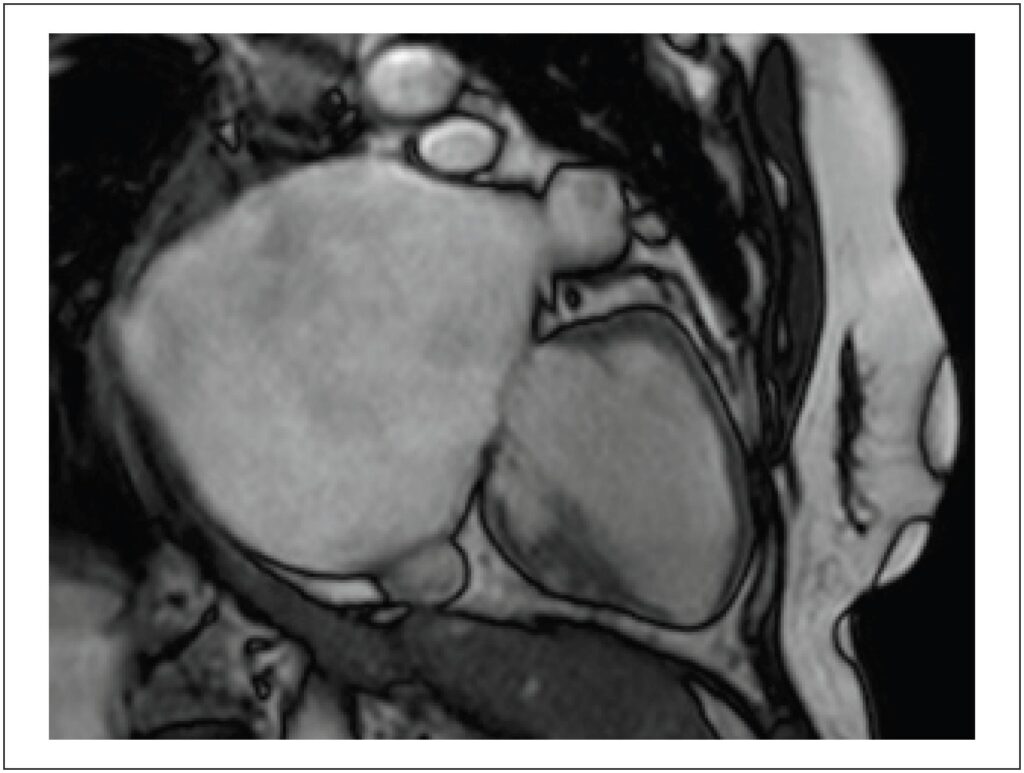
The Giant Left Atrium (GLA) is a rare condition, more commonly related to rheumatic mitral valve disease; it can be mistaken with a few possible differential diagnoses when less accurate methods are implemented, potentially leading to particularly dangerous and unnecessary procedures in this setting. Cardiovascular imaging methods, such as Cardiac Magnetic Resonance (CMR), can be valuable for this differentiation and provide high spatial resolution, supporting accurate diagnosis and surgical planning when indicated. Selecting the most precise diagnostic method, however, requires deep knowledge of the GLA condition and clinical data, leading to a correct suspicion. Furthermore, opting for using volumetry rather than the biplanar method in cases of significant deformity ensures greater accuracy in the values obtained.
268

