Arq Bras Cardiol: Imagem cardiovasc. 2024; 37(4): e20240086
Nem Tudo É o que Parece à Primeira Vista: Imagem Multimodal na Avaliação de Cistos Cardíacos
Resumo
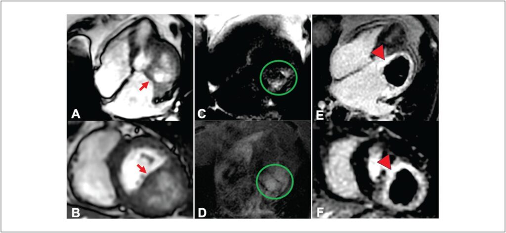
Massas cardíacas, embora raras, podem levar a problemas hemodinâmicos e arrítmicos importantes, mesmo quando benignas. O avanço do exame multimodal refinou o diagnóstico e o entendimento dessas massas. Apresentamos um caso de uma mulher de 85 anos, com dispneia classe II-III (New York Heart Association) há seis meses. O ecocardiograma mostrou uma massa na parede ínfero-lateral basal do ventrículo esquerdo, dilatação grave do átrio esquerdo, e regurgitação mitral moderada. A primeira hipótese era cisto pericárdico, mas o exame de ressonância magnética cardíaca (RMC) revelou uma massa intramiocárdica, e a tomografia computadorizada (TC) sugeriu um cisto hidático. Dados os sintomas não limitantes e o alto risco cirúrgico, decidiu-se pela vigilância ativa. Este caso ilustra a raridade dos cistos cardíacos e o papel essencial do exame multimodal no planejamento diagnóstico e terapêutico.
Palavras-chave: Equinococose; Neoplasias cardíacas; Técnicas de Imagem Cardíaca
349

