Arq Bras Cardiol: Imagem cardiovasc. 2025; 38(2): e20250002
Volumosa Massa Heterogênea em Câmaras Direitas: Relato de Caso em Cardio-Oncologia
Resumo
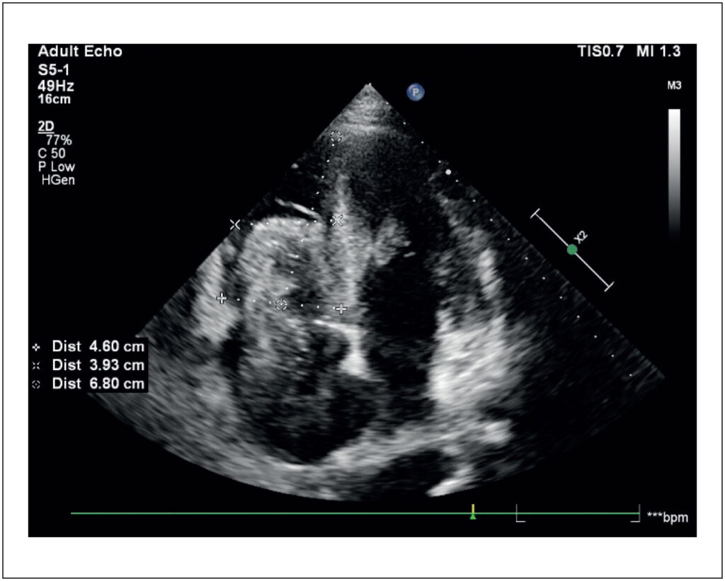
O carcinoma de células renais (CCR) é um dos cânceres mais letais, frequentemente associado à formação de trombos tumorais (TT), uma extensão intravascular do tumor. Aproximadamente 4% a 10% dos pacientes com CCR apresentam TT, que pode atingir a veia renal (10% a 18%), a veia cava inferior (4% a 23%) e, raramente, o átrio direito (1%). Esses trombos geralmente acompanham tumores avançados, com metástases à distância, e refletem uma biologia agressiva. O tratamento é desafiador, especialmente em casos metastáticos, sendo a ressecção cirúrgica indicada na ausência de metástases. A anticoagulação permanece controversa devido à composição neoplásica dos TT. Relatamos o caso de um homem de 51 anos com CCR de células claras e metástases pulmonares e hepáticas, tratado com pazopanibe. O paciente apresentou insuficiência cardíaca direita e foi diagnosticado com TT extenso até o átrio direito, identificado por ecocardiograma transtorácico. Em estágio avançado e com deterioração clínica, optou-se por cuidados paliativos, evoluindo a óbito em poucas semanas. O diagnóstico de TT é crucial para definir o prognóstico e as estratégias terapêuticas. O ecocardiograma, combinado a técnicas avançadas de imagem, tem papel fundamental na diferenciação entre TT e tromboembolismo. Este caso ressalta a importância da abordagem multidisciplinar e de avanços tecnológicos para o manejo de condições complexas como o TT, visando diagnóstico precoce e redução de complicações.
Palavras-chave: Carcinoma de Células Renais; Cardio-Oncologia; Trombose
410

