Arq Bras Cardiol: Imagem cardiovasc. 2025; 38(2): e20250002
Large Heterogeneous Mass in the Right Chambers: A Case Report in Cardio-Oncology
DOI: 10.36660/abcimg.20250002i
Abstract
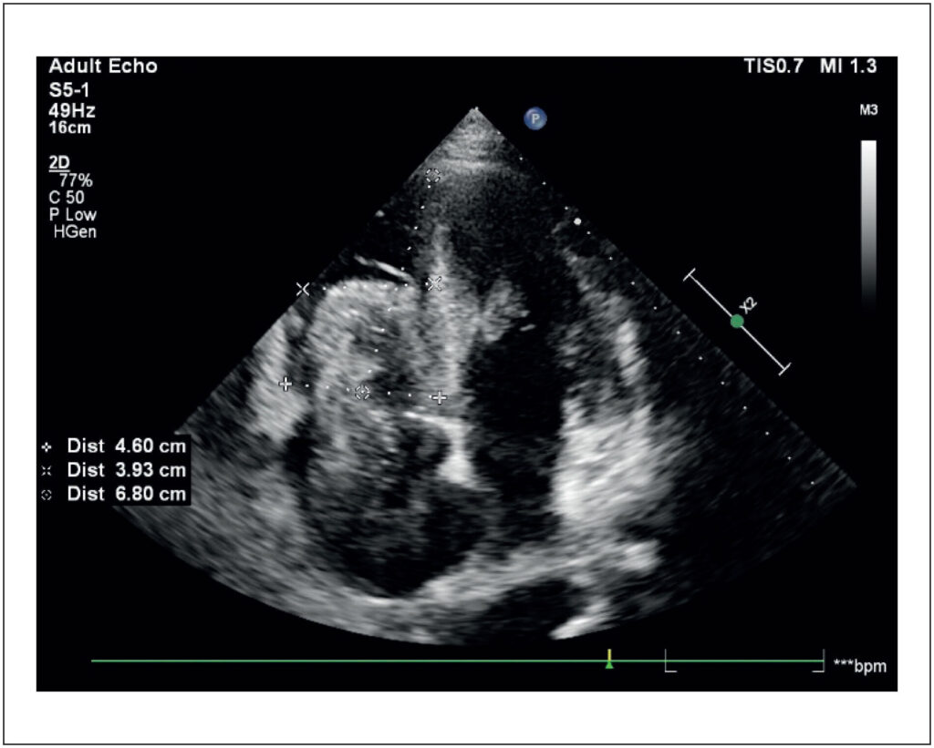
Renal cell carcinoma (RCC) is one of the most lethal cancers. It is frequently associated with the formation of tumor thrombi (TT), an intravascular extension of the tumor. Approximately 4% to 10% of patients with RCC have TT, which can reach the renal vein (10% to 18%), the inferior vena cava (4% to 23%), and, rarely, the right atrium (1%). These thrombi generally accompany advanced tumors, with distant metastases, and they reflect an aggressive biology. Treatment is challenging, especially in metastatic cases, and surgical resection is indicated in the absence of metastases. Anticoagulation remains controversial due to the neoplastic composition of TT. We report the case of a 51-year-old male patient with clear cell RCC and lung and liver metastases treated with pazopanib. The patient presented right heart failure and was diagnosed with extensive TT up to the right atrium, identified by transthoracic echocardiography. In an advanced stage, with clinical deterioration, palliative care was chosen, and the patient died within a few weeks. The diagnosis of TT is crucial to define prognosis and therapeutic strategies. Echocardiography, combined with advanced imaging techniques, plays a fundamental role in differentiating between TT and thromboembolism. This case highlights the importance of a multidisciplinary approach and technological advances for managing complex conditions such as TT, with the goals of early diagnosis and reduced complications.
Keywords: Cardio-Oncology; Renal Cell Carcinoma; Thrombosis
410

