Arq Bras Cardiol: Imagem cardiovasc. 2024; 37(3): e20240055
Valvulite Aórtica na Síndrome Hipereosinofílica: Relato de Caso
Introdução
As síndromes hipereosinofílicas são caracterizadas pela produção excessiva e sustentada de eosinófilos, que podem infiltrar diversos órgãos e liberar toxinas que danificam os tecidos. As causas do aumento de eosinófilos incluem: 1) causas primárias ou neoplásicas (por exemplo, neoplasia de células-tronco, mieloide ou de eosinófilos, e distúrbios clonais); 2) causas secundárias ou reativas (por exemplo, infecções parasitárias, tumores sólidos e linfomas de células T); 3) causas idiopáticas: parte de síndromes específicas (p. ex., Churg-Strauss); e 4) hipereosinofilia de significado desconhecido, quando não há dano orgânico.
Ao se discutir especificamente as síndromes reumáticas, a mais comum é a granulomatose eosinofílica com poliangiite, anteriormente conhecida como síndrome de Churg-Strauss. Essa vasculite afeta artérias de pequeno e médio calibre, atingindo principalmente a pele e os pulmões. No entanto, trata-se de um distúrbio multissistêmico que pode afetar também os rins, o coração e o sistema nervoso. Essa condição é frequentemente associada à rinossinusite crônica, asma e eosinofilia. Os anticorpos ANCA geralmente estão presentes, exceto nos casos em que o coração está envolvido. Nessas situações, os anticorpos ANCA geralmente são negativos, mas a contagem de eosinófilos permanece elevada. Sempre que possível, o diagnóstico deve ser confirmado por biópsia endomiocárdica.,
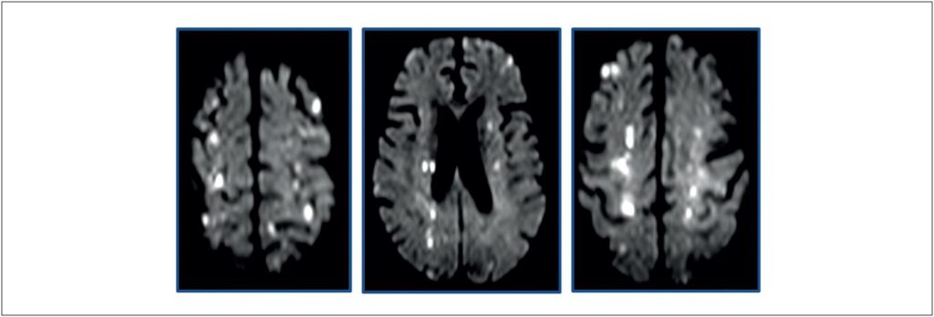
[…]
Palavras-chave: Acidente Vascular Cerebral; Síndrome Hipereosinofílica; Valvopatia Aórtica
506

