Arq Bras Cardiol: Imagem cardiovasc. 2024; 37(3): e20240055
Aortic Valvulitis in Hypereosinophilic Syndrome: A Case Report
DOI: 10.36660/abcimg.20240055i
Introduction
Hypereosinophilic syndromes are characterized by the sustained overproduction of eosinophils, which can infiltrate various organs and release toxins that damage tissues. Causes of increased eosinophils include 1) primary or neoplastic causes (e.g., stem cell, myeloid, or eosinophil neoplasia, and clonal disorders); 2) secondary or reactive causes (e.g., parasitic infections, solid tumors, and T-cell lymphomas); 3) idiopathic causes: part of specific syndromes (e.g., Churg-Strauss); and 4) hypereosinophilia of unknown significance, when there is no organic damage.
When specifically discussing rheumatic syndromes, the most common one is eosinophilic granulomatosis with polyangiitis, formerly known as Churg-Strauss disease. This vasculitis affects small and medium-sized arteries, primarily affecting the skin and lungs. However, it is a multisystem disorder that can affect kidneys, heart, and nervous system as well. This condition is often associated with chronic rhinosinusitis, asthma, and eosinophilia. ANCA antibodies are usually present, except in cases where the heart is involved. In such cases, ANCA antibodies are usually negative, but eosinophil counts remain elevated. Whenever possible, confirmatory diagnosis should be confirmed through an endomyocardial biopsy.,
[…]
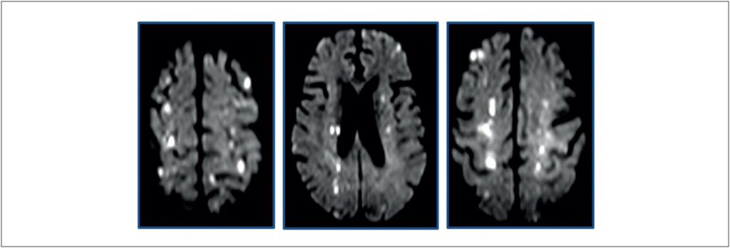
Keywords: Aortic Valve Disease; Hypereosinophilic Syndrome; Stroke
508

