Arq Bras Cardiol: Imagem cardiovasc. 2021; 34(2): eabc168
Pseudotrombo em Apêndice Atrial Esquerdo
DOI: 10.47593/2675-312X/20213402eabc168
Discussão
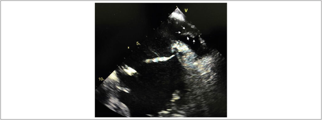
O Eco TEE é considerado exame padrão-ouro paradetecção de trombos em AAE., Com aincorporação da angio-TC de coração na prática clínica, tornou-se mais frequente o diagnósticode “falsa” imagem de trombo, o chamado pseudotrombo, em AAE, explicadopela falha de enchimento do contraste, devido à velocidade de fluxo reduzida nas trabéculas do AAE. Recentemente, coma utilização de protocolos específicos para avaliação de trombos na angio-TC e captação de imagens tardias, houve melhora significativa de sua sensibilidade e sua especificidade, com estas chegando próximas a 100% em algumas séries, e tornando-se, assim, opção menos invasiva ao ETE. Ela tem sido muito utilizada no pré-operatório de ablação por cateter para tratamento da FA ou oclusão percutânea do AAE.
Destaca-se, neste caso, o diagnóstico do pseudotrombo no ETE, que correspondia a artefato de estrutura extracardíaca metálica (stent) intimamente relacionado ao AAE, somente identificado na angio-TC cardíaca e que foi relevante no tratamento do paciente.
[…]
Palavras-chave: Apêndice atrial; Ecocardiografia; Tomografia Computadorizada
344

