Arq Bras Cardiol: Imagem cardiovasc. 2021; 34(2): eabc168

Left Atrial Appendage Pseudo-Thrombus

Marcio Augusto , Marcelo , José Guilherme , Daniel Escobar Bueno , Rafael Soares , Rodolpho Jacques de Melo

DOI: 10.47593/2675-312X/20213402eabc168

Discussion

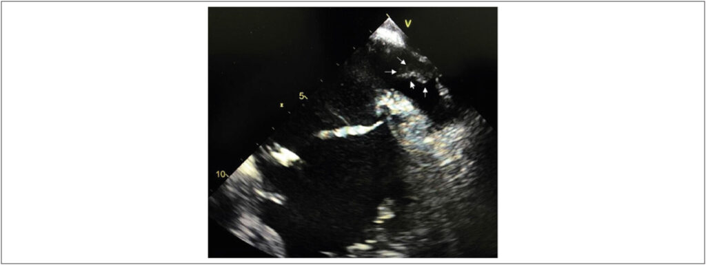
TEE is considered the gold standard test to detect LAA thrombi., With the incorporation of heart CT-angio into clinical practice, the diagnosis of a “false” thrombus, called pseudo-thrombus, in the LAA has become more frequent and is explained by contrast filling failure due to reduced flow velocity in the LAA trabeculae. The recent use of specific CT-angio protocols to evaluate thrombi and late imaging capture has significantly improved its sensitivity and specificity, which reaches near 100% in some series,, thus becoming a less invasive option than TEE. It has been widely used in preoperative catheter ablation to treat AF or LAA percutaneous occlusions.

In this case, it is noteworthy that the diagnosis of pseudo-thrombus by TEE corresponded to an extracardiac metallic structure (stent) artefact closely related to the LAA but only identified on the cardiac CT-angio and relevant in the patient’s treatment.

[…]

Left Atrial Appendage Pseudo-Thrombus

Comments

Skip to content