Arq Bras Cardiol: Imagem cardiovasc. 2021; 34(2): eabc170
Pneumomediastino Espontâneo
DOI: 10.47593/2675-312X/20213402eabc170
Caso
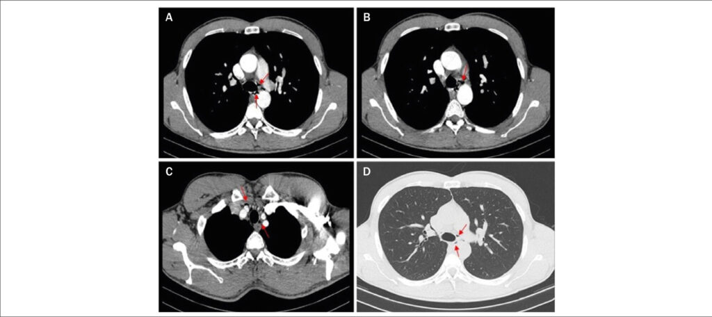
Um atleta do sexo masculino, de 31 anos, apresentou dor torácica aguda, agravada à deglutição, após completar uma maratona. Exame físico e sinais vitais normais. O eletrocardiograma mostrou ritmo sinusal, bloqueio incompleto de ramo direito e onda T negativa em V1–V2. Análise de sangue com valores normais de dímeros-D e pequena elevação da troponina-I (máximo em 72 horas: 0.52 ng/mL; normal <0.07 ng/mL), com níveis oscilantes. Radiografia de tórax, ecocardiograma e coronariografia normais. Realizada tomografia computadorizada (TC) cardíaca, revelando pequenas coleções gasosas no mediastino superior e médio compatíveis com pneumomediastino espontâneo (PS). ( and )
PS é uma entidade rara, geralmente benigna e frequentemente subdiagnosticada. O exercício físico intenso é uma causa reconhecida. A TC avalia a extensão, os fatores causais/patologias e revela o diagnóstico quando a radiografia de tórax é normal.
[…]
Palavras-chave: Dor no Peito; Pneumomediastino; Tomografia Computadorizada
205

