Arq Bras Cardiol: Imagem cardiovasc. 2021; 34(2): eabc158
Anomalia de Ebstein, não Compactação Miocárdica e Estenose Valvar Mitral
DOI: 10.47593/2675-312X/20213402eabc158
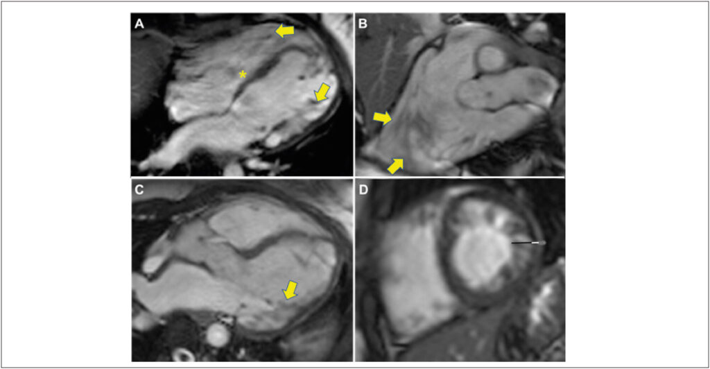
Mulher, 29 anos, com diagnóstico prévio de anomalia de Ebstein, foi encaminhada à ressonância magnética do coração em virtude de dispneia aos esforços com piora progressiva.
As imagens de ressonância magnética cardíaca (Siemens Essenza 1,5T) demonstram dilatação atrial direita e implante baixo do folheto septal da valva tricúspide. Adicionalmente, observam-se aumento da trabeculação ventricular esquerda, característica da não compactação miocárdica, e sinais de restrição do folheto mitral posterior, secundário à provável doença valvar reumática.
[…]
Palavras-chave: Anomalia de Ebstein; Estenose da Valva Mitral; Imagem por Ressonância Magnética
286

