Arq Bras Cardiol: Imagem cardiovasc. 2021; 34(2): eabc172
Implante de Cardioversor-Desfibrilador Através da Veia Cava Superior Esquerda Persistente
DOI: 10.47593/2675-312X/20213402eabc172
Caso
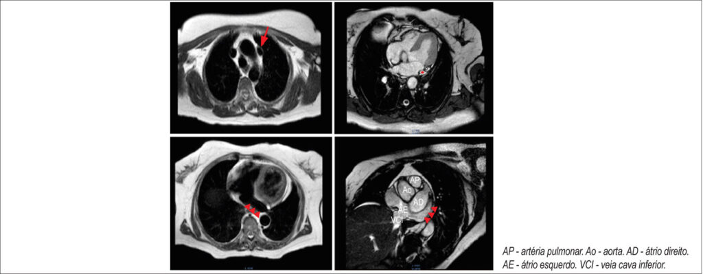
Mulher de 72 anos com hipertensão foi internada por parada cardíaca súbita secundária a fibrilação ventricular idiopática. Ressonância magnética cardíaca revelou uma veia cava superior esquerda persistente (VCSP) sem outras alterações cardiovasculares. Propôs-se o cardioversor-desfibrilador implantável (CDI) com acesso à esquerda. No intraoperatório, a canulação da veia cefálica inseriu o fio guia no VCSP que drenava no seio coronário e, posteriormente, no átrio direito. Com uma manobra de alça larga, posicionou-se a ponta do eletrodo voltada para a valva tricúspide e o acesso ao ventrículo direito foi obtido com o posicionamento do eletrodo ventricular. Os parâmetros do dispositivo foram verificados e estavam adequados, e o procedimento finalizado com fixação ativa, tempo de fluoroscopia de 1,35 minutos e dose de radiação de 143,12 µGy/cm2. Foram observados parâmetros de estimulação normais no seguimento de 3 anos.
A VCSP é uma anomalia venosa congênita, presente em 0,5% da população geral, geralmente assintomática e inerente em procedimentos invasivos ou de imagem. Embora não seja uma contraindicação para o CDI, a colocação do eletrodo é desafiadora, pois precisa contornar duas dobras, uma no seio coronário e outra na valva tricúspide. A implantação com técnicas de modelagem de estilete ou de alça larga é confiável e apresenta bom resultado, e os parâmetros de estimulação no seguimento de longo prazo não são afetados.
[…]
162

