Arq Bras Cardiol: Imagem cardiovasc. 2021; 34(2): eabc179
Diagnóstico Tardio de Origem Anômala da Artéria Coronária Esquerda a Partir da Artéria Pulmonar em Mulher Oligossintomática
DOI: 10.47593/2675-312X/20213402eabc179
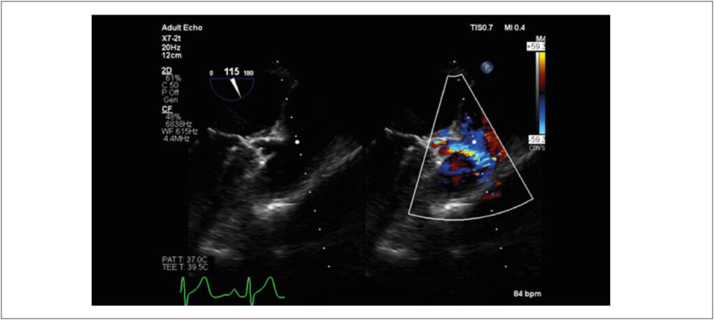
Paciente do sexo feminino, 33 anos, com queixas de palpitações, precordialgia e dispneia aos grandes esforços. Ecocardiograma evidenciou artéria coronária esquerda originando-se da artéria pulmonar com fluxo reverso e dilatação da artéria coronária direita (Figura 1 e Vídeo 1). Na sequência, foi realizada angiotomografia de coronárias, que corroborou diagnóstico de Origem Anômala da Artéria Coronária Esquerda a partir da Artéria Pulmonar (ALCAPA, do inglês Anomalous Left Coronary Artery from Pulmonar Artery), também conhecida como síndrome de Bland-White-Garland (Figura 2). Tal patologia representa uma alteração congênita rara e potencialmente fatal, com apresentação inicial infrequente em adultos.
171

