Arq Bras Cardiol: Imagem cardiovasc. 2021; 34(2): eabc179
Late Diagnosis of Anomalous Left Coronary Artery from Pulmonary Artery in Oligosymptomatic Women
DOI: 10.47593/2675-312X/20213402eabc179
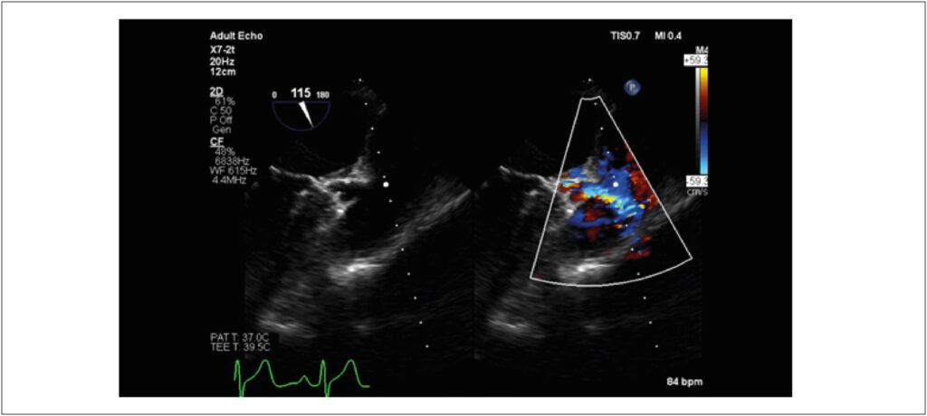
A 33-year-old female patient presented with complaints of palpitations, precordialgia, and dyspnea on exertion. Echocardiography revealed that the left coronary artery originated from the pulmonary artery with reverse flow and dilation of the right coronary artery (Figure 1, Video 1). Subsequent coronary angiography confirmed the diagnosis of anomalous left coronary artery from the pulmonary artery, also known as Bland-White-Garland syndrome (Figure 2), a rare and potentially fatal congenital pathology with an uncommon initial presentation in adults.
171

