Arq Bras Cardiol: Imagem cardiovasc. 2025; 38(1): e20240101
Oclusão Bem-Sucedida de um Saco Aneurismático Gigante da Artéria Subclávia Usando Plugue Vascular: Relato de Caso
Resumo
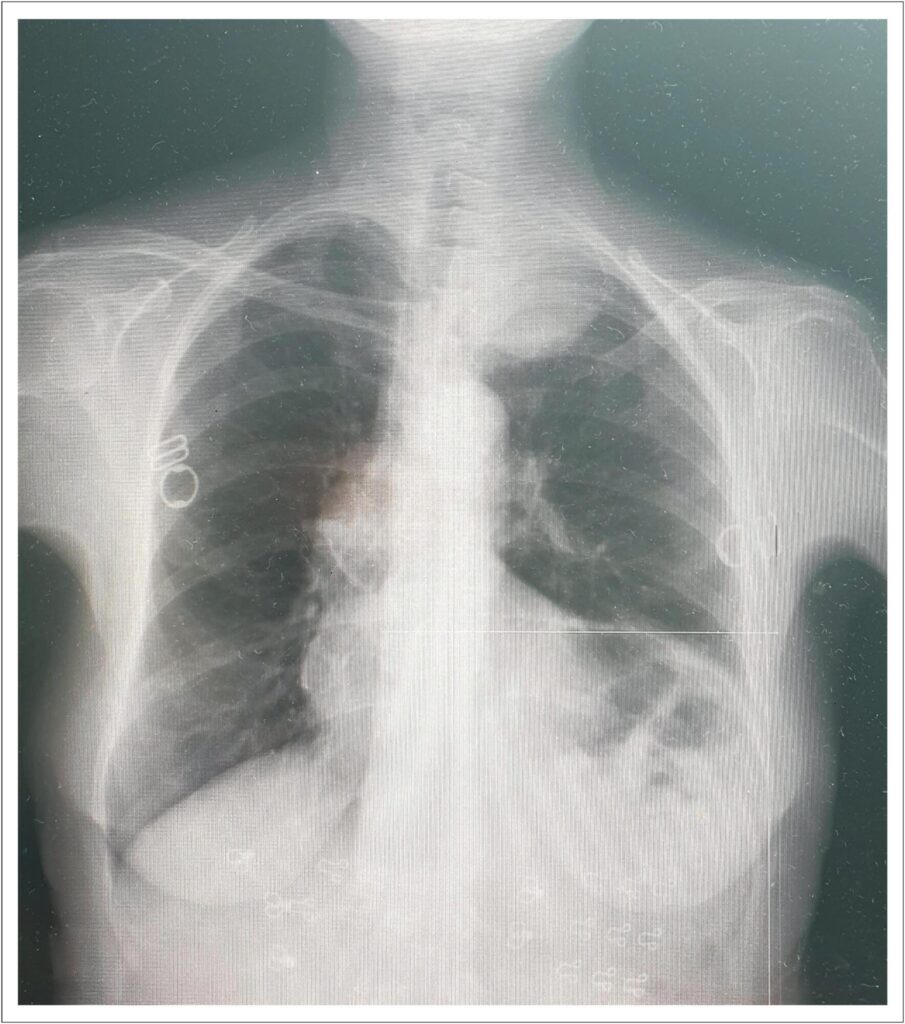
Aneurismas da artéria subclávia são anomalias vasculares raras que apresentam riscos significativos, incluindo tromboembolismo, isquemia e ruptura. O presente relato de caso descreve uma paciente do sexo feminino de 71 anos de idade que apresentou isquemia no braço esquerdo, incluindo dor, dormência e fraqueza, causada por um aneurisma da artéria subclávia esquerda complicado por trombose distal. A imagem revelou um aneurisma de 65 × 55 mm com uma oclusão trombótica de 2,5 cm. O aneurisma foi tratado com uma abordagem endovascular, utilizando um plugue vascular implantado via acesso femoral. Isso foi precedido por tentativas frustradas de acessar a lesão pela abordagem radial devido à presença de oclusão trombótica e anatomia vascular complexa. Após o procedimento, a paciente apresentou alívio significativo dos sintomas, e a imagem de acompanhamento confirmou a trombose do saco aneurismático. Este caso destaca a eficácia das técnicas endovasculares no manejo de aneurismas complexos da artéria subclávia e enfatiza a importância de estratégias de tratamento individualizadas e acompanhamento rigoroso.
Palavras-chave: Artéria Subclávia; Correção Endovascular de Aneurisma; Trombose
454

