Arq Bras Cardiol: Imagem cardiovasc. 2025; 38(1): e20240101
Successful Occlusion of a Giant Subclavian Artery Aneurysm Sac with a Vascular Plug: A Case Report
DOI: 10.36660/abcimg.20240101i
Abstract
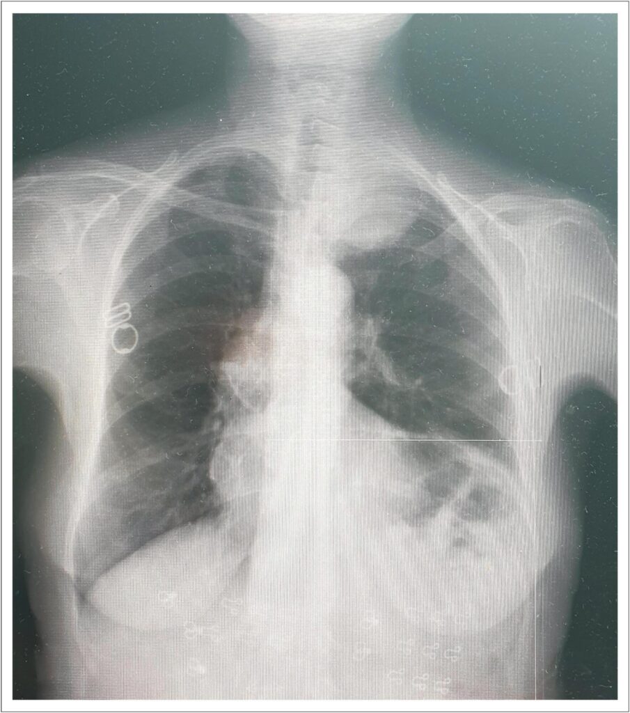
Subclavian artery aneurysms are rare vascular anomalies that carry significant risks, including thromboembolism, ischemia, and rupture. This case report describes a 71-year-old female patient presenting with left arm ischemia, including pain, numbness, and weakness, caused by a left subclavian artery aneurysm complicated by distal thrombosis. Imaging revealed a 65 × 55 mm aneurysm with a 2.5 cm thrombotic occlusion. The aneurysm was treated with an endovascular approach, utilizing a vascular plug deployed via femoral access. This was preceded by failed attempts to access the lesion through the radial approach due to the presence of thrombotic occlusion and complex vascular anatomy. After the procedure, the patient experienced significant symptom relief, and follow-up imaging confirmed thrombosis of the aneurysm sac. This case highlights the effectiveness of endovascular techniques in managing complex subclavian artery aneurysms and emphasizes the importance of individualized treatment strategies and close follow-up.
Keywords: Endovascular Aneurysm Repair; Subclavian Artery; Thrombosis
454

