Arq Bras Cardiol: Imagem cardiovasc. 2025; 38(1): e20240099
Mixoma Atrial Como Causa Rara de Acidente Vascular Cerebral: Relato de Caso
Introdução
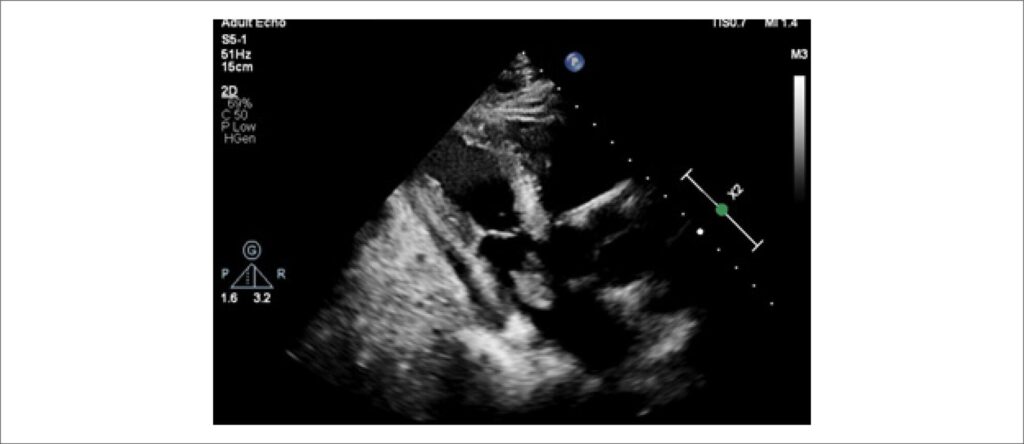
O mixoma atrial (MA) é o tumor benigno primário que mais comumente afeta o coração. Tem prevalência rara, estimada em 0,03% na população geral, devendo levar a intervenção cirúrgica assim que diagnosticado por apresentar risco aumentado de complicações cardíacas, como obstruções intracardíacas ou embolizações sistêmicas.
Mixomas cardíacos são observados no átrio esquerdo em >75% dos casos, predominantemente fixados com um pedúnculo à fossa oval (>90%). No entanto, podem ser vistos em outros locais (ventrículo esquerdo, átrio direito e muito raramente o ventrículo direito).
[…]
Palavras-chave: Acidente Vascular Cerebral; Mixoma; Neoplasias cardíacas
464

