Arq Bras Cardiol: Imagem cardiovasc. 2025; 38(1): e20240099
Atrial Myxoma as a Rare Cause of Stroke: Case Report
DOI: 10.36660/abcimg.20240099i
Introduction
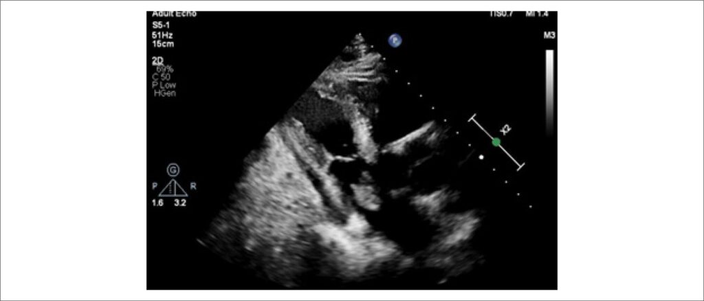
Atrial myxoma (AM) is the most common primary benign tumor affecting the heart. Its prevalence is rare, estimated at 0.03% in the general population. Surgical intervention should be introduced as soon as diagnosed due to the increased risk of cardiac complications, such as intracardiac obstructions or systemic embolizations.
Cardiac myxomas are commonly observed in the left atrium in >75% of cases, predominantly attached with a stalk to the fossa ovalis (>90%). However, they can be seen in other locations (left ventricle, right atrium, and, though quite rarely, the right ventricle).
[…]
Keywords: Heart neoplasms; Myxoma; Stroke
464

