Arq Bras Cardiol: Imagem cardiovasc. 2025; 38(2): e20250029
Insuficiência Mitral Importante e Disfunção Ventricular na Síndrome Hipereosinofílica: Relato de Caso
Introdução
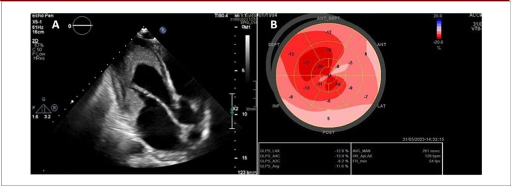
A síndrome hipereosinofílica (HES) representa um grupo de doenças hematológicas raras caracterizado pelo aumento do número de eosinófilos no sangue periférico. Uma vez ativados esses eosinófilos podem levar ao dano de tecidos e órgãos do hospedeiro. Geralmente os pacientes com HES apresentam sinais e sintomas dermatológicos, respiratórios e gastrointestinais. O acometimento do sistema cardiovascular é incomum e pode gerar graves consequências como insuficiência cardíaca, arritmias e fenômenos tromboembólicos.
Este artigo descreve um caso de doença endomiocárdica eosinofílica, também conhecida como síndrome de Loeffler, uma manifestação da HES caracterizada pelo dano cardíaco mediado por eosinófilos. Apesar do tratamento adequado e controle da doença hematológica, o paciente evoluiu com disfunção sistólica biventricular e insuficiência mitral (IM) importante.
[…]
Palavras-chave: Insuficiência cardíaca; Insuficiência da Valva Mitral; Síndrome Hipereosinofílica
176

