Arq Bras Cardiol: Imagem cardiovasc. 2025; 38(2): e20250035
Tomografia Computadorizada com Contagem de Fótons na Imagem Cardiovascular: Onde Estamos e o que Está por Vir
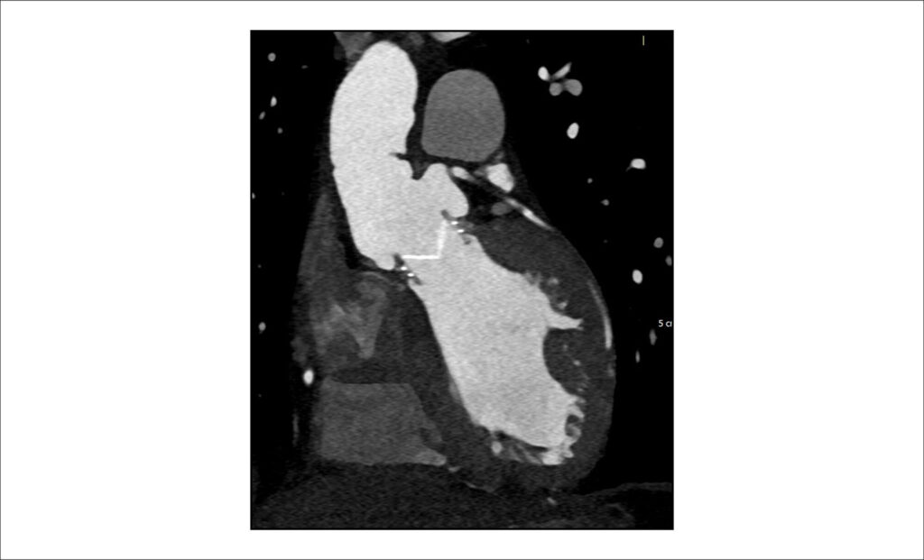
A Angiotomografia Computadorizada (ATC) tem sido um recurso importante no diagnóstico cardiovascular há décadas. A melhoria contínua na aquisição rápida de dados, frequentemente com resolução espacial mais alta, consolidou o método como indispensável para o diagnóstico e manejo de diversas condições cardiovasculares, como aneurismas, dissecção aórtica e tromboembolismo pulmonar., O uso da ATC na imagem cardíaca e coronariana também conquistou território e relevância importantes., As técnicas de Tomografia Computadorizada (TC) vêm avançando significativamente desde sua introdução na medicina. Desde os detectores únicos, passando pelos tomógrafos helicoidais, tomógrafos multidetectores com pitch elevado, melhorias nos algoritmos de reconstrução, surgimento da tecnologia de dupla energia e, mais recentemente, a capacidade de adquirir imagens de todo o coração em apenas um batimento cardíaco com informação de todo o ciclo cardíaco, são marcos impressionantes. A Reserva de Fluxo Fracionado por TC (do inglês, FFR-CT) também é uma técnica muito promissora. O progresso, no entanto, apresenta certas desvantagens: a radiação ionizante continua sendo uma preocupação e, apesar das estratégias de redução como a modulação de dose, alguns exames cardiovasculares de ATC ainda apresentam níveis relativamente altos de radiação absorvida, especialmente aqueles com múltiplas séries, cortes extremamente finos e reconstruções retrospectivas de porções maiores do ciclo cardíaco. Seguindo essa tendência de melhorar a qualidade da imagem com a menor radiação ionizante possível, surgiu uma nova técnica complexa: a TC com Contagem de Fótons (PCCT, da sigla em inglês).
A maior distinção entre a TC convencional e a PCCT está nos detectores de raios X. O detector da TC convencional é baseado na recepção dos fótons de raios X que interagiram com o paciente, convertendo-os em fótons de luz (sistema indireto) e, em seguida, convertendo essa luz em sinais elétricos que, por fim, são transformados em sinais digitais. Esse sistema é chamado de Detector Integrador de Energia (EID, da sigla em inglês). Basicamente, quanto mais luz houver, mais raios X chegarão, além de menor interação/maior penetração nos tecidos do paciente. Não é possível diferenciar exatamente quantos raios X estão chegando nem os diferentes níveis de energia de cada fóton. Além disso, os septos entre cada um dos detectores também limitam a recepção de raios X., Por outro lado, os detectores da PCCT conseguem detectar separadamente cada fóton de raio X que chega e medir diretamente a energia de cada um desses fótons. Isso ocorre porque o detector da PCCT conta com uma camada de cristal de alta tensão, que realoca elétrons para cada fóton recebido, e o número de elétrons realocados é proporcional à energia de cada raio X. Os elétrons realocados geram um pulso elétrico que será finalmente convertido em sinal digital. Até mesmo fótons de menor energia podem ser detectados, melhorando a relação contraste-ruído da imagem. Trata-se de um sistema direto, em que não há septos entre os detectores. Ou seja, menos raios X são necessários (portanto, menor radiação) e é possível separar os raios X de acordo com sua energia, permitindo aplicações de reconhecimento tecidual (diferentes energias conhecidas tendem a interagir com diferentes tecidos conhecidos), funcionando como uma TC de dupla energia.,
[…]
356

