Arq Bras Cardiol: Imagem cardiovasc. 2024; 37(4): e20240090
Hematoma Pericárdico com Dor Torácica e Tamponamento em Pós-Operatório Tardio de Cirurgia Cardíaca
Introdução
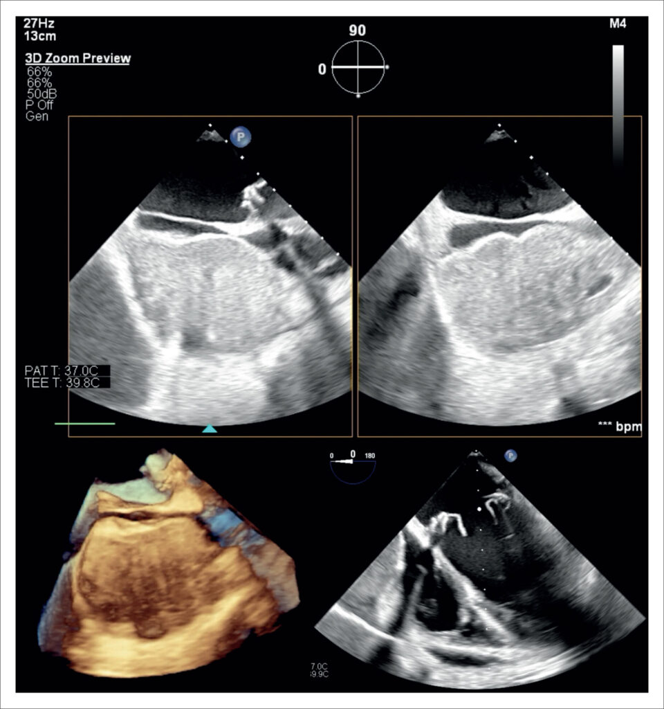
Derrame pericárdico e sangramento mediastinal são complicações frequentes no pós-operatório de cirurgia cardíaca. Essas condições habitualmente se manifestam nos primeiros dias após o procedimento e demandam nova intervenção cirúgica em uma minoria dos casos.
Este relato descreve uma apresentação atípica de hematoma pericárdico manifestado como dor torácica intensa no 23° dia de pós-operatório, com evolução rápida para instabilidade hemodinâmica. O ecocardiograma desempenhou um papel fundamental no diagnóstico e na condução do caso para um desfecho favorável.
[…]
Palavras-chave: Cirurgia Cardíaca; Ecocardiografia; hematoma pericárdico
632

