Arq Bras Cardiol: Imagem cardiovasc. 2024; 37(4): e20240090
Pericardial Hematoma With Chest Pain and Tamponade in the Late Postoperative Period of Cardiac Surgery
DOI: 10.36660/abcimg.20240090i
Introduction
Pericardial effusion and mediastinal bleeding are common complications in the postoperative period following cardiac surgery. These conditions typically present within the first few days after the procedure and necessitate additional surgical intervention in a minority of cases.
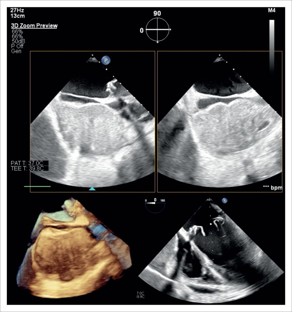
This report describes an atypical presentation of pericardial hematoma, which manifested as severe chest pain on the 23rd postoperative day and rapidly progressed to hemodynamic instability. Echocardiography was instrumental in both diagnosing and managing the case, ultimately contributing to a favorable outcome.
[…]
Keywords: Echocardiography; Heart surgery; pericardial hematoma
632

