Arq Bras Cardiol: Imagem cardiovasc. 2025; 38(1): e20240130
Evolução Tardia da Cardiomiopatia de Takotsubo Após Implante Transcateter de Valva Aórtica
Introdução
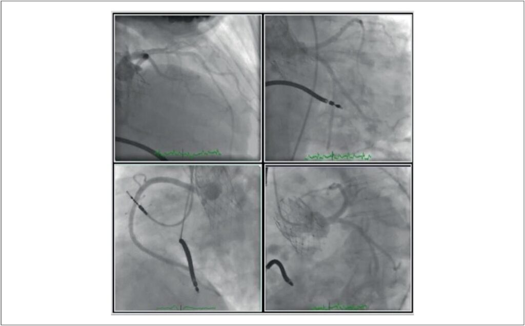
O implante transcateter de valva aórtica (TAVI) é considerado uma opção terapêutica de primeira linha para pacientes sintomáticos que sofrem de estenose aórtica avançada e estão sob risco cirúrgico elevado. Em pacientes inoperáveis com prognóstico ruim, há risco de complicações, tais como infarto do miocárdio devido à oclusão coronária, acidente vascular cerebral, ruptura anular etc. A cardiomiopatia de Takotsubo (TTC) é uma síndrome que geralmente se desenvolve na ausência de oclusão coronária evidente e sinais de diagnóstico alternativo, incluindo miocardite. Apresenta-se com alterações eletrocardiográficas, aumento de biomarcadores cardíacos e achados ecocardiográficos típicos., Neste artigo, descrevemos uma paciente com TTC que havia sido previamente submetida ao TAVI e, posteriormente, ao implante de cardioversor-desfibrilador implantável (CDI).
[…]
395

