Arq Bras Cardiol: Imagem cardiovasc. 2025; 38(1): e20240130
Late Evolution of Takotsubo Cardiomyopathy Following Transcatheter Aortic Valve Implantation
DOI: 10.36660/abcimg.20240130i
Introduction
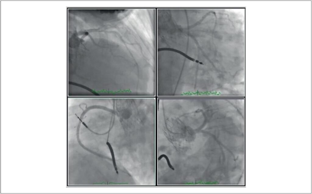
Transcatheter aortic valve implantation (TAVI) is recognized as a first-line treatment for symptomatic patients with advanced aortic stenosis who are at high surgical risk. In inoperable patients with poor prognosis, it carries a risk for complications, such as myocardial infarction due to coronary occlusion, stroke, annular rupture, etc.¹ Takotsubo Cardiomyopathy (TTC) is a syndrome that usually develops in the absence of overt coronary occlusion and signs of alternative diagnosis, including myocarditis. It presents with electrocardiographic changes, increased cardiac biomarkers, and typical echocardiographic findings., In this article, we describe a patient with TTC who previously underwent TAVI and subsequent implantable cardiac defibrillator (ICD) implantation.
[…]
395

