ABC Imagem Cardiovasc. 2025; 38(4): e20250080
Acidente Vascular Cerebral Isquêmico em um adulto Jovem: Um Desafio Diagnóstico. Exploração da Associação entre Forame Oval Patente e Rede de Chiari
Introdução
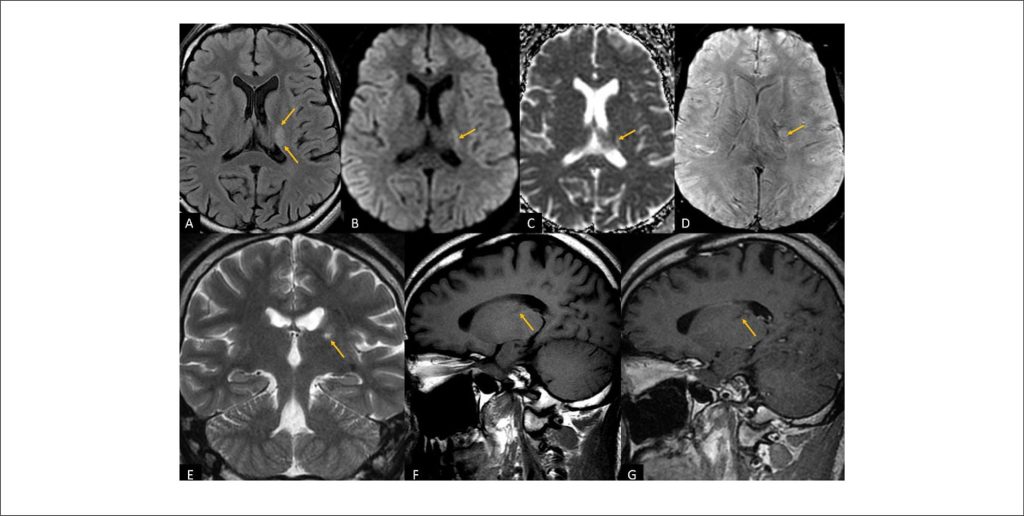
Mundialmente, os AVCs são a segunda principal causa de mortalidade, e são amplamente categorizados em tipos hemorrágicos e isquêmicos., Em 2019, o AVC isquêmico representou 62,4% dos casos, totalizando 7,63 milhões de episódios. As projeções indicam um aumento substancial na prevalência de AVC, de 3,9% em 2020 para uma estimativa de 6,4% em 2050. Apesar de investigações etiológicas abrangentes, a causa subjacente dos eventos isquêmicos cerebrovasculares permanece indefinida em 10% a 40% dos casos, conhecidos como AVC criptogênico.
O AVC é comumente uma condição incapacitante e representa uma grande ameaça à estabilidade socioeconômica de um país, particularmente em países em desenvolvimento. A incidência de AVC isquêmico tem aumentado, particularmente entre indivíduos com menos de 55 anos de idade. Aproximadamente 10% a 15% de todos os AVCs se manifestam em adultos jovens de 18 a 49 anos., Essa tendência ressalta a importância crítica das estratégias de prevenção de AVC, mesmo nessa faixa etária mais jovem.
[…]
Palavras-chave: Acidente Vascular Cerebral; AVC Isquêmico; Forame Oval Patente
198

