ABC Imagem Cardiovasc. 2025; 38(4): e20250080

Ischemic Stroke in a Young Adult: a diagnostic challenge. Exploring the association between Patent Foramen Ovale and Chiari Network

Raissa Silva , Mauro de Deus , Simone Nascimento dos , Luciano Moreira , Dilson Palhares , Lilian Silva

DOI: 10.36660/abcimg.20250080i

Introduction

Globally, strokes are the second leading cause of mortality,, and are broadly categorized into hemorrhagic and ischemic types., In 2019, ischemic stroke accounted for 62.4% of all cases, totaling 7.63 million episodes. Projections indicate a substantial increase in stroke prevalence, from 3.9% in 2020 to an estimated 6.4% by 2050. Despite comprehensive etiological investigations, the underlying cause of cerebrovascular ischemic events remains undefined in 10% to 40% of the cases, known as cryptogenic stroke.

Stroke is often a disabling condition and poses a major threat to the socioeconomic stability of a country, particularly in developing nations. The incidence of ischemic stroke has been increasing, particularly among individuals under 55 years of age. Approximately 10% to 15% of all strokes manifest in young adults aged 18 to 49., This trend underscores the critical importance of stroke prevention strategies, even within this younger demographic.

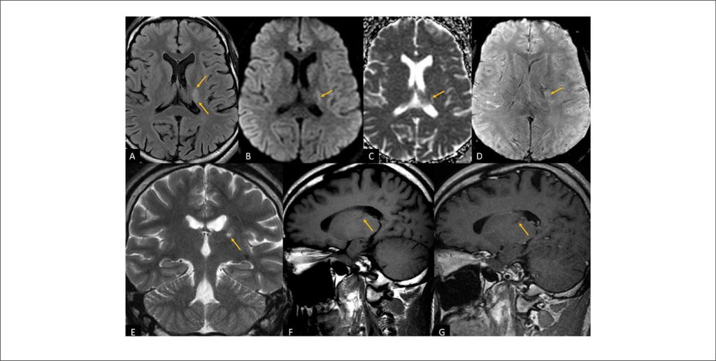
[…]

Ischemic Stroke in a Young Adult: a diagnostic challenge. Exploring the association between Patent Foramen Ovale and Chiari Network

Comments

Skip to content