ABC Imagem Cardiovasc. 2025; 38(4): e20250073
Tips and Pitfalls on the Role of Echocardiography in Percutaneous Intervention for Hypertrophic Cardiomyopathy
DOI: 10.36660/abcimg.20250073i
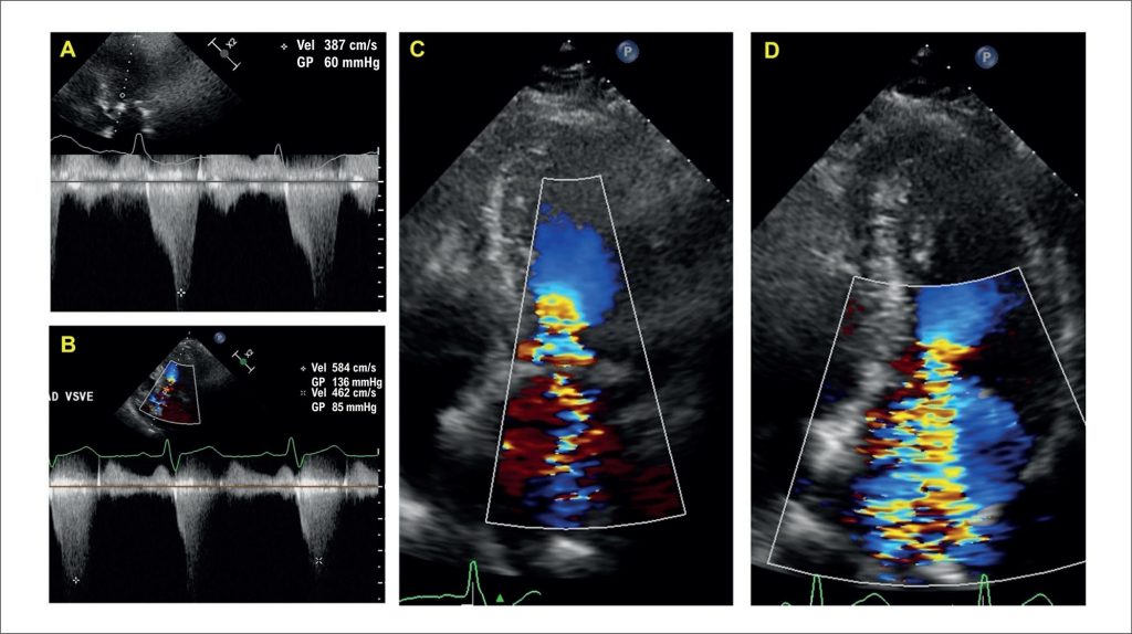
Hypertrophic cardiomyopathy (HCM) is the most prevalent genetic heart disease, affecting approximately 1 in 500 individuals in the general population,– with asymmetric septal hypertrophy as the most common phenotype. In obstructive HCM (oHCM), clinical relevance is greater due to its association with atrial fibrillation, heart failure, thromboembolic events, arrhythmias, and sudden cardiac death., For patients who remain symptomatic despite optimized medical therapy, septal reduction has become an established strategy, with surgical septal myectomy as the gold standard. Alcohol septal ablation is an alternative when surgical risk is prohibitive, there are contraindications to surgery, advanced age, or favorable coronary anatomy; it should be performed in experienced centers.– Other percutaneous approaches — such as radiofrequency septal ablation, the use of coils, or liquid embolic agents — have also been described.
Echocardiography plays a central role throughout the management of oHCM undergoing percutaneous intervention. Beyond diagnosis, it is essential for periprocedural guidance and for postoperative assessment. Understanding its capabilities and recognizing potential pitfalls are critical to success. This editorial offers practical tips for echocardiographers and highlights key points that, if overlooked, may compromise outcomes.
[…]
153

