Arq Bras Cardiol: Imagem cardiovasc 2023; 36(3): e20230046
Achado Incidental de Cardiomiopatia Arritmogênica do Ventrículo Direito em Homem de 72 Anos Admitido com Síndrome Coronariana Aguda
Introdução
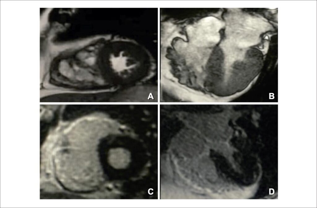
A cardiomiopatia arritmogênica do ventrículo direito (CAVD) – também conhecida como displasia arritmogênica do ventrículo direito (VD) – é uma doença hereditária caracterizada pela perda progressiva de cardiomiócitos do VD e substituição por tecido fibrogorduroso. Essa substituição pode retardar a condução intraventricular e contribuir para arritmias ventriculares por meio de um mecanismo de macrorreentrada relacionado à fibrose. Assim, a CAVD é uma das principais causas de parada cardíaca arrítmica em jovens e atletas.
Embora, inicialmente designado como displasia, a CAVD não é um defeito congênito no desenvolvimento do miocárdio. É causada por mutações nos genes que codificam proteínas desmossômicas, as quais são responsáveis pela adesão célula a célula. Esta descoberta levou ao seu reconhecimento como cardiomiopatia e sua inclusão na classificação de cardiomiopatias pela American Heart Association. ,
[…]
282

