Arq Bras Cardiol: Imagem cardiovasc 2023; 36(3): e20230046
Incidental Finding of Arrhythmogenic Right Ventricular Cardiomyopathy in a 72-Year-Old Man Admitted With Acute Coronary Syndrome
DOI: 10.36660/abcimg.20230046i
Introduction
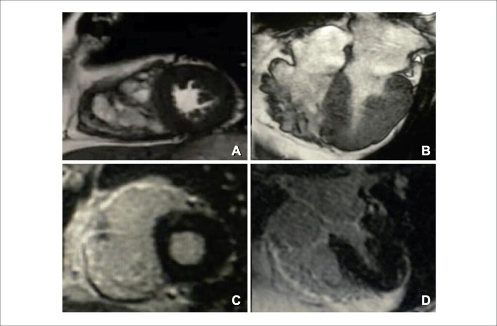
Arrhythmogenic right ventricular cardiomyopathy (ARVC) – also known as arrhythmogenic right ventricular (RV) dysplasia – is a genetic disorder characterized by progressive loss of RV cardiomyocytes, which are replaced with fibrofatty tissue. This replacement may delay intraventricular conduction and contribute to ventricular arrhythmias through a fibrosis-related macro-reentry mechanism. Thus, ARVC is one of the main causes of arrhythmic cardiac arrest in young people and athletes.
Although initially designated as dysplasia, ARVC is not a congenital defect in the myocardium development. It is caused by mutations in the genes that encode desmosomal proteins, which are responsible for cell-to-cell adhesion. This discovery led to the disease being recognized as cardiomyopathy and included in the classification of cardiomyopathies by the American Heart Association. ,
[…]
282

