Arq Bras Cardiol: Imagem cardiovasc 2023; 36(1): e347
Tromboembolismo Pulmonar Associado com Embolia Paradoxal em um Paciente com Forame Oval Patente
Introdução
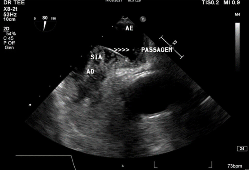
O forame oval patente (FOP) é uma condição clínico-patológica caracterizada por uma abertura na fossa oval, o que permite a passagem de sangue entre os átrios, presente em cerca de 25% da população adulta, na maioria sem repercussões hemodinâmicas. No entanto, devido à patência desse forame, pode ocorrer o embolismo paradoxal como causa de eventos isquêmicos e, em alguns casos, há indicação de fechamento do forame oval como medida de prevenção secundária para eventos tromboembólicos.
Estudos comprovam a associação entre FOP e diversos quadros clínicos, alguns potencialmente graves, tais como acidente vascular encefálico isquêmico (AVEi) e tromboembolismo pulmonar (TEP).
[…]
Palavras-chave: Embolia Paradoxal; Embolia Pulmonar; Forame Oval; Infarto do baço
376

