Arq Bras Cardiol: Imagem cardiovasc. 2023; 36(2): e20230019
Inflamação Perivascular Transitória da Artéria Carótida (TIPIC): Papel da Ultrassonografia Vascular
Relato do Caso
Paciente do sexo masculino, 53 anos, com queixa de dor cervical unilateral progressiva, que surgiu espontaneamente, acompanhado de edema, vermelhidão local e grande sensibilidade à palpação. A história pregressa do paciente incluía radioterapia há cerca de 5 anos na região do pescoço e face contralateral à queixa atual. O paciente não era tabagista e não apresentava outros fatores de risco significativos para doença aterosclerótica. Um ano antes ao quadro clínico atual o paciente havia realizado USV das artérias carótidas, em avaliação de rotina para seguimento após a radioterapia, cujo resultado estava dentro da normalidade.
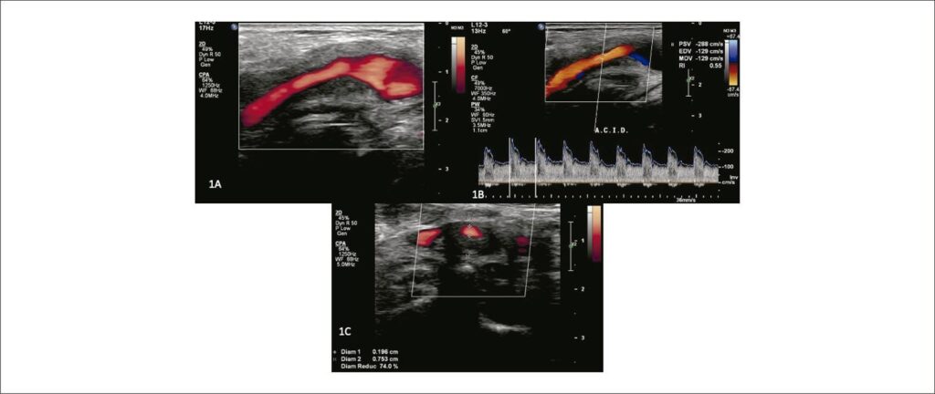
Diante do quadro clínico, foi solicitado um novo exame de USV que incluiu o protocolo padrão de avaliação das artérias carótidas comuns (ACC), externas (ACE) e internas (ACI) extracranianas. Atenção especial foi dada aos tecidos extracarotídeos (perivasculares), devido ao passado de radioterapia. A USV demonstrou ao modo B, extenso acometimento hipoecogênico e homogêneo dos tecidos, englobando a parede arterial na altura da bifurcação carotídea, expandindo-se para a ACI proximal (). A velocidade de pico sistólico e a velocidade diastólica final (VPS/VDF) encontravam-se elevadas: VPS/VDF = 288/129 cm/s (). A estenose local medida no plano transversal da imagem foi estimada em 74% (), compatível com os dados de velocidade do Doppler. A extensão da área acometida foi de 5,57 mm em comparação com um lúmen de 1,96 mm. A ressonância magnética e a angioressonância (RNM, ARNM) mostraram espessamento irregular, com realce pelo contraste, na ACI proximal e bifurcação, corroborando com os achados da USV ().
[…]
Palavras-chave: artéria carótida; arterite; TIPIC
431

