ABC Imagem Cardiovasc. 2025; 38(3): e20250003
Impressão 3D de um Coração com Amiloidose
Resumo
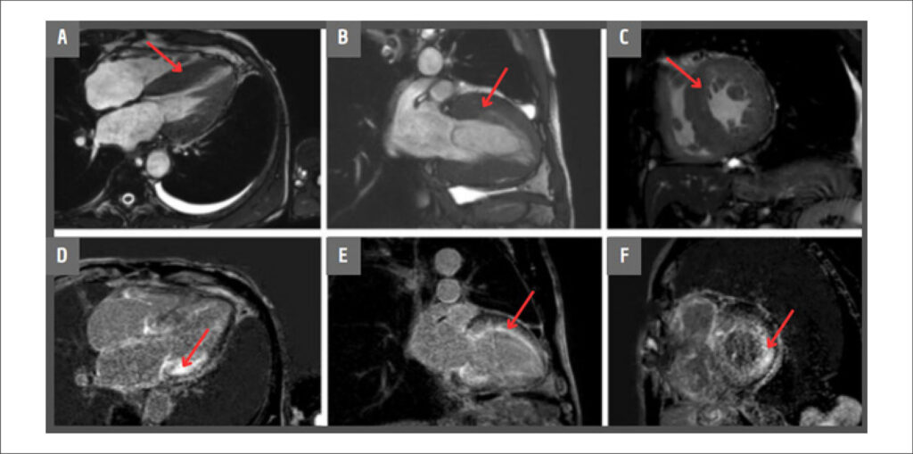
A Amiloidose cardíaca é uma cardiomiopatia restritiva causada pelo acúmulo de proteína amiloide no coração. Anteriormente considerada uma condição rara, avanços no diagnóstico não invasivo têm aumentado sua identificação entre pacientes com Insuficiência Cardíaca (IC). Atualmente, representa cerca de 13% dos casos de Insuficiência Cardíaca com Fração de Ejeção Preservada (ICFEP). Neste estudo, relatamos o caso de um paciente do sexo masculino, com 72 anos de idade, que compareceu à clínica relatando dispneia e fadiga em atividades de baixo esforço. Foram realizados exames laboratoriais que revelaram marcadores cardíacos aumentados, juntamente com evidência de hipertrofia ventricular na análise eletrocardiográfica. À imagem cardíaca, o ensaio de cadeias leves (AL) livres no soro e a biópsia endomiocárdica indicaram o diagnóstico de amiloidose por AL. Um modelo tridimensional foi construído com dados de ressonância magnética (RM). O modelo visa aumentar a conscientização sobre a amiloidose como possível diagnóstico diferencial de IC, além de promover a educação de pacientes e familiares, demonstrando as alterações estruturais típicas da doença.
198

