ABC Imagem Cardiovasc. 2025; 38(3): e20250003

3D Printing of a Heart With Amyloidosis

Mariana de Paula , Davi Shunji , Daniel Gama das , Renato Pereira , Alexandre Todorovic , Pedro Manoel Marques , Marcus , Claudio Tinoco

DOI: 10.36660/abcimg.20250003i

Abstract

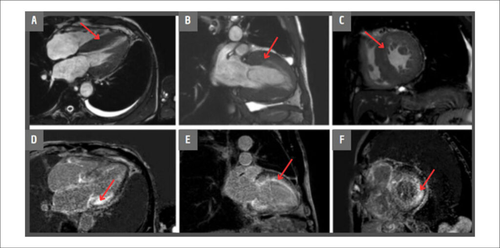
Cardiac Amyloidosis is a restrictive cardiomyopathy caused by the accumulation of amyloid protein in the heart. The advances in non-invasive diagnosis have been increasing its identification among patients with Heart Failure (HF), being previously considered to be a rare condition. Currently, it represents around 13% of the cases of Heart Failure with preserved Ejection Fraction (HFpEF). We report the case of a 72-year-old male patient who presented to the clinic reporting dyspnea and fatigue in low-effort activities. Laboratory exams were conducted, revealing increased cardiac markers, along with evidence of ventricular hypertrophy in electrocardiographic analysis. Cardiac imaging, serum free light chain (AL) assay, and endomyocardial biopsy indicated the diagnosis of AL amyloidosis. A three-dimensional model was constructed using magnetic resonance imaging (MRI) data. This model is intended to increase the awareness around amyloidosis as a possible differential diagnosis of HF, while also promoting patients’ and families’ education, demonstrating the typical structural abnormalities of the disease.

3D Printing of a Heart With Amyloidosis

Comments

Skip to content