Arq Bras Cardiol: Imagem cardiovasc. 2023; 36(1): e20230001
Hipótese Sobre a Patogênese de Lesão Subepicárdica Associada à Miocardite
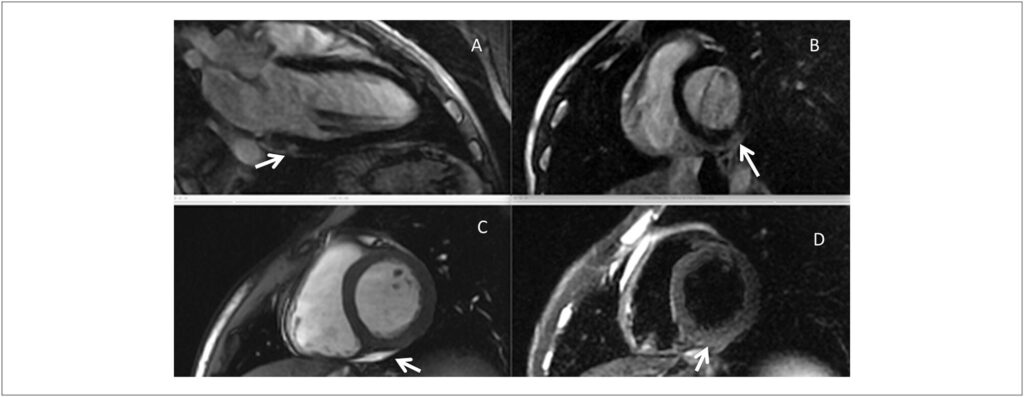
O padrão típico da injúria miocárdica e da fibrose subsequente em pacientes com miocardite viral é subepicárdico. Entretanto, outros padrões de injúria e lesões, conforme detectados pelos estudos utilizando ressonância magnética cardíaca, também ocorrem comumente, incluindo a injúria subendocárdica, que reproduz o padrão da doença cardíaca isquêmica, e lesão circunferencial no meio da parede, vista com mais frequência em pacientes com doença avançada e cardiomiopatias dilatadas. Nos pacientes com miocardite que apresentam arritmias malignas no cenário de função do ventrículo esquerdo (VE) preservada, não é raro encontrar o padrão de lesão subepicárdica na presença de função sistólica do VE normal ou levemente anormal. No entanto, a patogênese da lesão subepicárdica em pacientes com miocardite acompanhada ou não por disfunção significativa do VE ainda não está clara.
Além da miocardite, a lesão miocárdica subepicárdica é encontrada em associação com vários processos de doenças que não são considerados resultantes de injúria miocárdica induzida por vírus. A lista inclui processos de doenças com etiologias díspares, tais como as doenças de Duchenne e de Fabry, a cardiomiopatia chagásica e a doença cardíaca reumática, entre outras.– Portanto, teorias diferentes já foram propostas para explicar esse padrão de formação de lesão em pacientes com patologias diferentes. O aumento de tensão localizada excessiva e alterações de perfusão locais já foram postulados como mecanismos que contribuem para isso, mas não são suficientes para serem considerados mecanismos principais. A tensão da parede calculada é mais alta no nível subendocárdico, e defeitos de perfusão resultantes de isquemia geralmente são subendocárdicos. Após a formação da lesão, a perfusão é diminuída em proporção à redução de densidade capilar (defeito corrigido), mas isso não implica que a isquemia local seja o mecanismo patogenético subjacente à formação de lesão subepicárdica.
[…]
Palavras-chave: COVID-19; lesão epicárdica; Miocardite; Ressonância cardíaca
825

