Arq Bras Cardiol: Imagem cardiovasc. 2023; 36(1): e20230001
Hypothesis on the Pathogenesis of Sub-Epicardial Scar Associated with Myocarditis
DOI: 10.36660/abcimg.20230001i
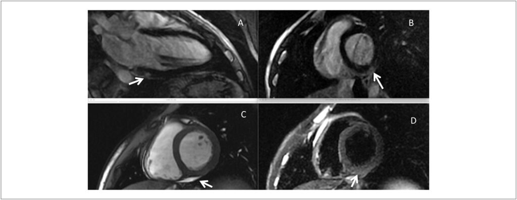
The typical pattern of myocardial injury and subsequent fibrosis in patients with viral myocarditis is subepicardial. However, other patterns of injury and scar, as detected by contrast enhanced magnetic resonance imaging (cMRI), commonly occur, including sub-endocardial injury mimicking the ischemic heart disease pattern, and mid-wall circumferential scar seen more often in patients with advanced disease and dilated cardiomyopathies. In patients with myocarditis, who present malignant arrhythmias in the scenario of a preserved left ventricle (LV) function, it is not uncommon to find the typical subepicardial scar pattern in the presence of normal or mildly abnormal LV systolic function. However, the pathogenesis of sub-epicardial scars in patients with myocarditis accompanied or not by significant LV dysfunction remains obscure.
In addition to myocarditis, subepicardial myocardial scar is found in association with various disease processes that are not believed to be secondary to a virally induced myocardial injury. The list includes disease processes with disparate etiologies, such Duchenne and Fabry’s disease, Chagas cardiomyopathy, and rheumatic heart disease, among others.– Therefore, different theories have been proposed to explain this pattern of scar formation in patients with different pathologies. Increase in excessive regional stress and local perfusion alterations have been postulated as contributing mechanisms, but both fall short as main mechanisms. Calculated wall stress is greater at the level of the subendocardium, and reversible perfusion defects secondary to ischemia are commonly subendocardial. After scar formation, perfusion is diminished in proportion to capillary density reduction (fixed defect), but that does not implicate local ischemia as the pathogenetic mechanism underlying subepicardial scar formation.
[…]
Keywords: Cardiac resonance; epicardial injury; Myocarditis
825

