Arq Bras Cardiol: Imagem cardiovasc 2022; 35(1): eabc224
Endocardite de Libman-Sacks em Paciente Masculino com Lúpus Eritematoso Sistêmico
DOI: 10.47593/2675-312X/20223501eabc224
Introdução
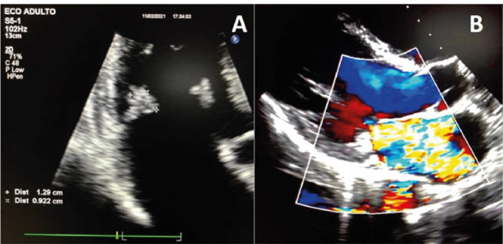
A endocardite de Libman-Sacks (ELS), também conhecida como endocardite marântica ou verrucosa, é uma forma de endocardite trombótica não bacteriana (ETNB) que envolve a presença de vegetações estéreis nas valvas cardíacas. Essas vegetações podem estar associadas com malignidade, lúpus eritematoso sistêmico (LES) ou síndrome do anticorpo antifosfolipídeo (SAAF) e são mais comumente encontradas nas valvas mitral e aórtica, mas outras valvas podem estar envolvidas. O diagnóstico exige alta presunção clínica na avaliação de populações específicas.
[…]
Palavras-chave: Ecocardiograma; Endocardite; Lúpus eritematoso sistêmico
983

