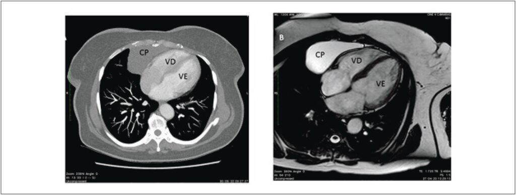
Paciente do sexo feminino, 59 anos, portadora de hipertensão arterial sistêmica, diabetes mellitus e dislipidemia, foi encaminhada a um serviço terciário para investigação de tosse irritativa, não produtiva, surgida dois meses antes. Negou sintomas de refluxo ou empachamento pós-prandial, bem como congestão nasal ou sinais de rinite alérgica. Negou tabagismo, etilismo e contato com indivíduos com tuberculose e não relatou eventos pneumônicos prévios.
[…]
Cisto Pericárdico Assintomático: Um Relato de Caso e Revisão Breve do seu manuseio
BarbosaMR, MoreiraHT, VolpeGJ, WadaDT, RomanoMMD, SchmidtA. Cisto Pericárdico Assintomático: Um Relato de Caso e Revisão Breve do seu manuseio. Arq Bras Cardiol: Imagem cardiovasc. 2023;36(4):e20230080.
Barbosa,Matheus Rodrigues; Moreira,Henrique Turin; Volpe,Gustavo Jardim; Wada,Danilo Tadao; Romano,Minna Moreira Dias; Schmidt,Andre. Cisto Pericárdico Assintomático: Um Relato de Caso e Revisão Breve do seu manuseio. Arq Bras Cardiol: Imagem cardiovasc., v. 36, n. 4, e20230080, dez. 2023.
Barbosa,M.R., Moreira,H.T., Volpe,G.J., Wada,D.T., Romano,M.M.D., & Schmidt,A. (2023). Cisto Pericárdico Assintomático: Um Relato de Caso e Revisão Breve do seu manuseio. Arq Bras Cardiol: Imagem cardiovasc.,36(4), e20230080.
Barbosa,Matheus Rodrigues and Moreira,Henrique Turin and Volpe,Gustavo Jardim and Wada,Danilo Tadao and Romano,Minna Moreira Dias and Schmidt,Andre. Cisto Pericárdico Assintomático: Um Relato de Caso e Revisão Breve do seu manuseio. Arq Bras Cardiol: Imagem cardiovasc. [online]. 2023, vol. 36, n. 4, [cited 2026-04-23], e20230080. Available from: <https://www.abcimaging.org/pt-br/article/cisto-pericardico-assintomatico-um-relato-de-caso-e-revisao-breve-do-seu-manuseio/>. ISSN .