Arq Bras Cardiol: Imagem cardiovasc. 2024; 37(2): e20240021
Aneurisma Subvalvar Mitral e Aórtico Idiopáticos em Paciente Jovem
Resumo
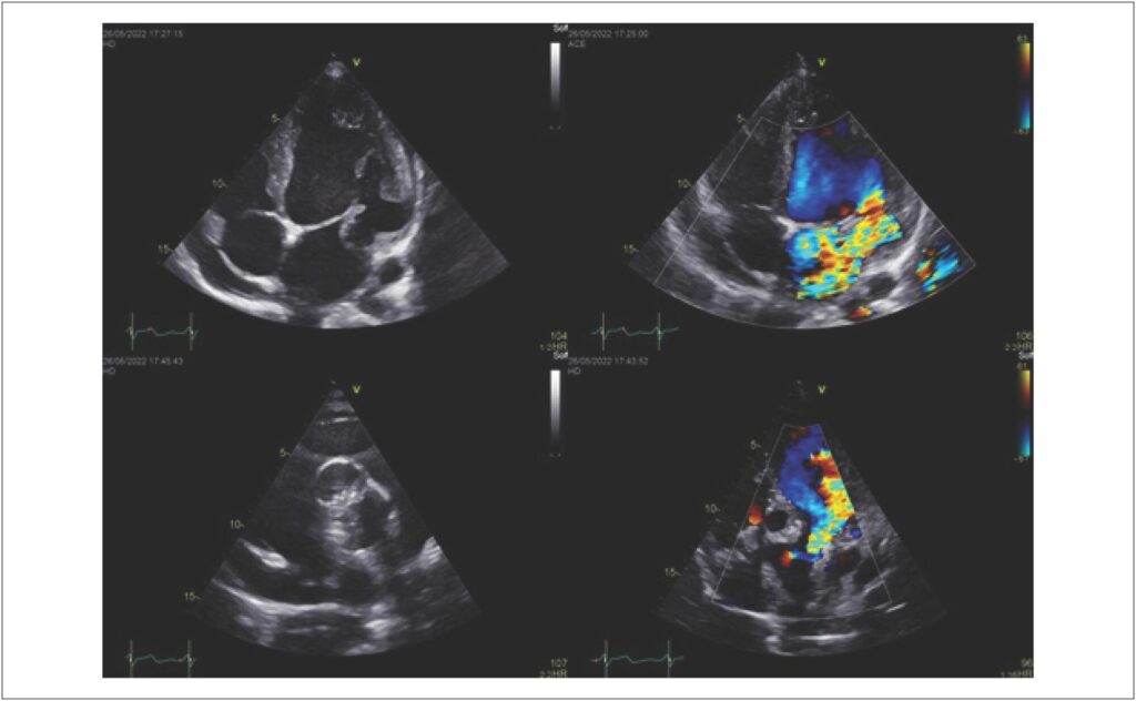
Aneurismas do ventrículo esquerdo tem a doença arterial coronariana como sua principal etiologia. Dentre eles, existem tipos mais raros, como aqueles nas regiões subvalvares de origem idiopática. Nesse artigo, descrevemos o caso de um paciente com histórico de correção de um aneurisma subvalvar aórtico e outro no Seio de Valsalva, que se apresenta com novo aneurisma subvalvar mitral.
Palavras-chave: Aneurisma Cardíaco; Insuficiência da Valva Mitral; Túnel Aorticoventricular
480

