Arq Bras Cardiol: Imagem cardiovasc. 2024; 37(1): e20230072
Aneurisma de Ventrículo Esquerdo Roto e Contido: Um Relato de Caso
Introdução
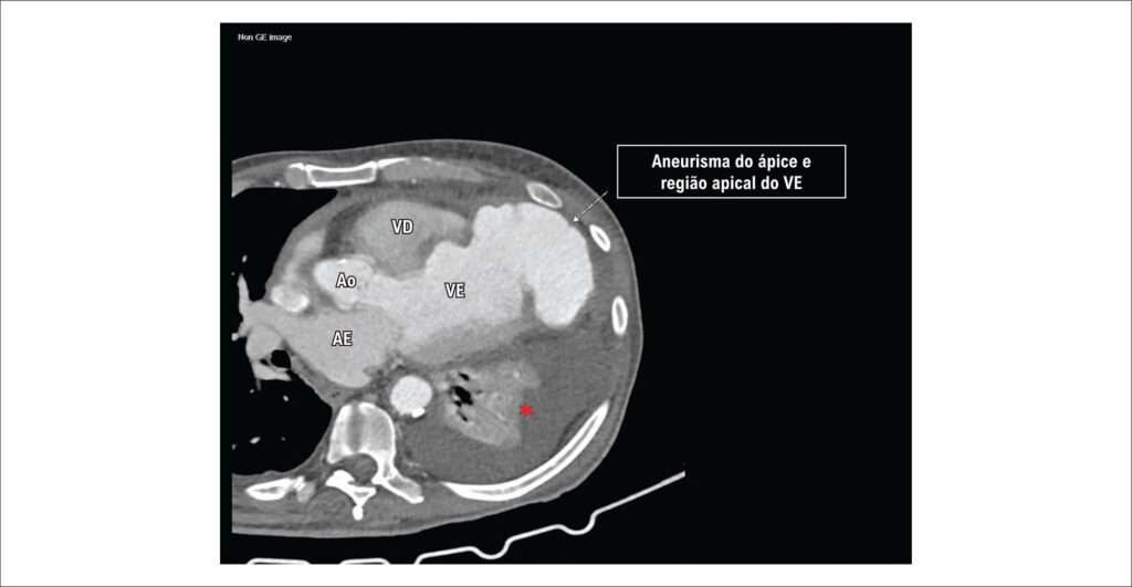
Aneurismas do ventrículo esquerdo (AVE) e pseudoaneurismas do ventrículo esquerdo (PAVE) são complicações graves decorrentes do infarto transmural do miocárdio. Suas incidências diminuíram consideravelmente com o desenvolvimento da cardiologia intervencionista, considerando a revascularização precoce da artéria coronária comprometida, o que possibilita a prevenção do remodelamento ventricular. O diagnóstico diferencial muitas vezes não é fácil, contudo, deve ser precoce.
AVE ocorrem meses ou anos após o infarto agudo do miocárdio. São formados por área de tecido cicatricial e contêm as três camadas da parede ventricular (endocárdio, miocárdio e pericárdio), sendo sua parede íntegra, podendo conter trombos. Já o PAVE é uma complicação rara que pode ocorrer dias ou meses após o infarto, sendo formado pela parede enfraquecida que se rompe após o infarto, de modo que esta ruptura é contida pelo pericárdio, havendo descontinuidade da borda endocárdica. Usualmente, AVE são localizados nas regiões apical e anterior, enquanto PAVE se localizam na região póstero-lateral do ventrículo esquerdo.
[…]
Palavras-chave: Cirurgia Torácica; Infarto do miocárdio
936

