Arq Bras Cardiol: Imagem cardiovasc. 2024; 37(1): e20240001
Acidente Vascular Encefálico Isquêmico em Paciente com Pseudoaneurisma na Via de Saída do Ventrículo Esquerdo de Difícil Tratamento
Introdução
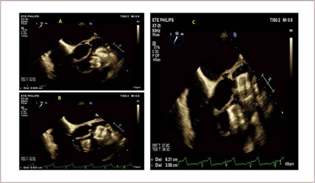
Há relatos de ocorrência de neocavidades cardíacas, frequentemente associadas à pseudoaneurismas decorrentes de lesões traumáticas ou abscessos peripróteticos fistulizados para o ventrículo esquerdo (VE).
Os pseudoaneurismas cardíacos, de forma geral, são associados a complicações de infarto agudo do miocárdio, mas também podem surgir no pós-operatório tardio de cirurgias valvares. Em específico, certas regiões apresentam um potencial favorável para o desenvolvimento de pseudoaneurismas de aorta ascendente. Esses eventos geralmente ocorrem nos locais de canulação e clampeamento aórtico, bem como nas zonas de suturas de enxerto.
[…]
Palavras-chave: Acidente Vascular Cerebral; Falso aneurisma; Próteses valvulares cardíacas
428

