ABC Imagem Cardiovasc. 2025; 38(4): e20250075
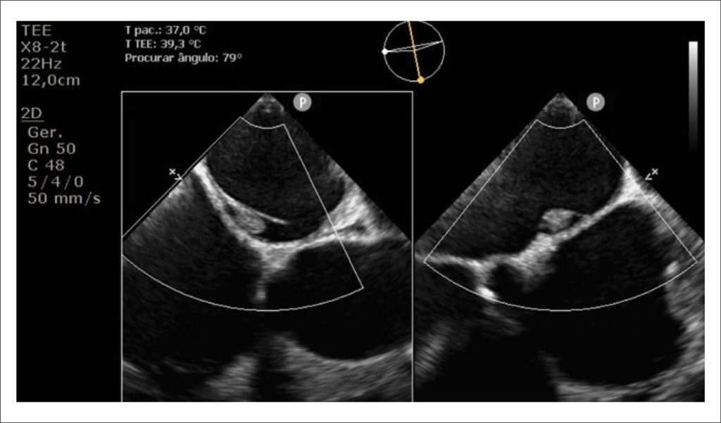
Trombose de Bolsa Septal Atrial Esquerda Detectada Antes de Cardioversão Elétrica: Uma Fonte Rara de Embolismo
Paciente do sexo masculino, 59 anos, com antecedente de hipertensão arterial sistêmica, foi admitido no pronto-socorro com histórico de dor torácica e palpitações há sete dias. Ao exame físico, encontrava-se hipotenso (93/70 mmHg) e taquicárdico (150 bpm). Apresentava na ausculta um sopro sistólico–diastólico proeminente no bordo esternal superior direito.
A investigação inicial incluiu Eletrocardiograma (ECG) e Ecocardiograma Transtorácico (ETT). O ECG revelou flutter atrial, e o ETT demonstrou dilatação biventricular [diâmetros diastólico/sistólico finais do Ventrículo Esquerdo (VE): 60/51 mm; diâmetro basal do Ventrículo Direito (VD): 54 mm] e disfunção sistólica grave (fração de ejeção do VE: 19%; fração de variação de área do VD: 16%). Identificou-se ainda valva aórtica bicúspide com dupla lesão: estenose aórtica de baixo fluxo e baixo gradiente (velocidade máxima: 3,1 m/s; gradientes máximo/médio: 39/23 mmHg; razão de velocidades: 0,15; área valvar: 0,7 cm; índice de volume sistólico: 17 ml/m) associada a regurgitação aórtica grave (tempo de meia-pressão: 170 ms; fluxo reverso holodiastólico na aorta torácica descendente com velocidade diastólica final de 24 cm/s).
[…]
Palavras-chave: Ecocardiografia Transesofagiana; Septo Interatrial; Trombose
128

