Arq Bras Cardiol: Imagem cardiovasc. 2022; 35(2): eed_15
Endocardite Infecciosa na Índia: Um Panorama de um País Enorme
DOI: 10.47593/2675-312X/20223502eed_15
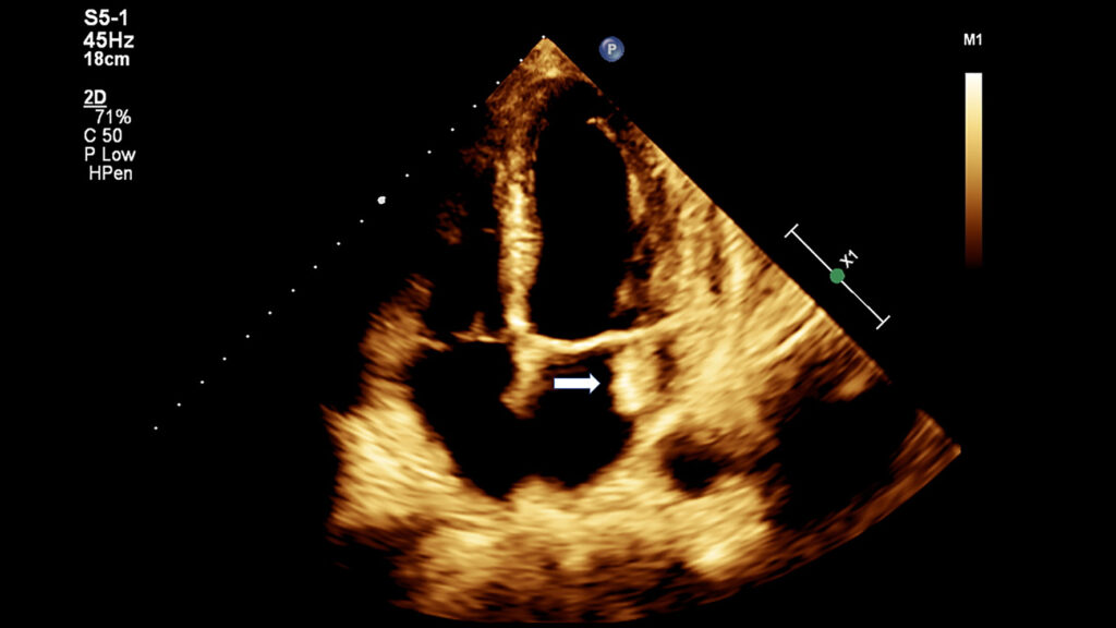
A endocardite infecciosa (EI) sempre impôs desafios ao universo médico, os quais foram respondidos pelas mais recentes inovações e esforços persistentes. Segundo Habib et al., “A endocardite infecciosa ainda é uma doença que envolve riscos à vida, com frequentes desfechos letais, apesar das profundas mudanças em seus perfis clínicos, microbiológicos, de imagem e terapêuticos”.
Diversos fatores influenciam as peculiaridades da doença. A Índia é um país em desenvolvimento, cujo sistema de saúde é de natureza muito polarizada. Nas aldeias, há centros rurais de Atenção Primária com instalações básicas, que prestam cuidados de saúde de nível muito primários, estendendo-se ao centro de excelência hospitalar com os últimos avanços da área médica. O ponto crucial é o tempo que leva para um paciente chegar ao centro adequado para as intervenções corretas e, ainda mais importante, o diagnóstico de EI deve ser estabelecido pelos médicos da Atenção Primária o quanto antes. O fator socioeconômico desempenha um papel fundamental no desfecho. Todas as três questões representam um desafio ainda maior, principalmente em um país tão grande quanto a Índia. Sengupta et al. concluíram que fatores socioeconômicos influenciam o perfil clínico de pacientes com EI em todo o mundo, levando a atrasos no diagnóstico e a menos casos de cirurgia. Já Gupta et al. mostram observações sobre EI, como aumento da idade e proporção de pacientes sem histórico de doenças cardíacas, melhores taxas de positividade em exames sanguíneos e aumento de infecções estafilocócicas, além do aumento do uso de ecocardiograma transesofágico (ETE) e das altas taxas de cirurgias eletivas.
[…]
360

