Arq Bras Cardiol: Imagem cardiovasc 2021; 34(4): eabc262
Diagnóstico Pré-Natal de Shunt Circular: Rara Complicação da Anomalia de Ebstein
DOI: 10.47593/2675-312X/20213404eabc262
Shunt circular é uma situação na qual o sangue oriundo de uma câmara cardíaca é desviado através do coração para retornar à câmara original sem atingir o leito capilar pulmonar. Gestante de 27 anos, G1, P0, A0, com 25 semanas de gestação, foi encaminhada para ecocardiografia fetal por aumento da área cardíaca observado ao ultrassom obstétrico morfológico no segundo trimestre. Não havia comorbidades maternas, e as ultrassonografias iniciais da gestação eram normais.
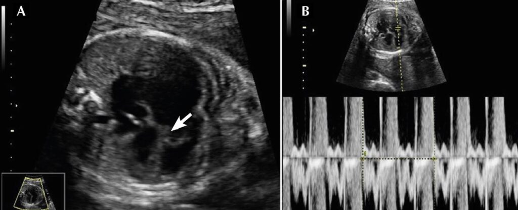
O ecocardiograma fetal com 25 semanas demonstrou cardiomegalia, acolamento do folheto septal da valva tricúspide no septo interventricular e insuficiência tricúspide importante, compatível com anomalia de Ebstein (). Foi detectado derrame pericárdico discreto, tendo sido estimado o escore cardiovascular de Hutha 6. A artéria pulmonar mostrava bom calibre (escore-Z de 1,9) (), sem fluxo anterógrado, apenas com fluxo retrógrado oriundo do canal arterial, caracterizando o shunt circular. Com 29 semanas de gestação, foi observado feto em hidropisia, fluxo na artéria umbilical diástole zero e escore de Hutha 4 (). O óbito fetal ocorreu com 30 semanas de gestação.
[…]
Palavras-chave: Anomalia de Ebstein; Diagnóstico Pré-Natal; Ecocardiografia Doppler
1.131

